"Never doubt that a small group of thoughtful, committed citizens can change the world. Indeed, it is the only thing that ever has."

Margaret Mead
On May 25, 2018, the GDPR (General Data Protection Regulation) went into effect and changed how organizations deal with personal data of customers located in the EU. Though GDPR was built to protect Europeans, it will affect organizations around the world doing business in the EU. Because of this we are asking our users located in the EU to opt in to the data we collect in order to bring a better web experience. Opt-In

Original article
peer-reviewed

Encapsulated Papillary Carcinoma of Breast: Clinicopathological Features and Prognostic Parameters



Abstract

Introduction

Encapsulated papillary carcinoma (EPC) is a rare malignant papillary breast tumor that, despite a lack of distinct myoepithelial layer, is considered an in situ carcinoma unless associated with a frank invasive component. Data regarding clinicopathologic features of rare breast tumors like EPC are especially scarce. Therefore, in this study, we evaluated the clinicopathologic features of EPC and performed a clinicopathological comparison with conventional invasive ductal carcinoma (IDC).

Methods

It was a retrospective study conducted in the Department of Pathology, Liaquat National Hospital and Medical College, from January 2013 to December 2019 over a period of seven years. During this period, 16 cases were diagnosed as EPC, and 634 cases were labeled as IDC. Estrogen receptor (ER), progesterone receptor (PR), and human epidermal growth factor receptor-2 (HER2/neu) immunohistochemical (IHC) stains were performed on both EPC and IDC cases. Moreover, myoepithelial IHC stains were performed on all cases of EPC. Clinicopathologic features of EPC were compared with IDC.

Results

The mean age of the EPC patients was 51.81±13.94 years, with a mean tumor size of 2.97±2.46 cm. The majority of cases were grade II, and axillary metastasis was present in 18.8% of cases. About 56.3% of cases were in situ, and 43.8% showed foci of invasion in the form of IDC. Recurrence was noted in 12.5% of cases with a survival rate of 93.8%. ER, PR, and HER2/neu positivity was noted in 81.3%, 75%, and 12.5% cases, respectively. EPC was significantly noted to have lower tumor grade and pathological T-stage than IDC. Similarly, a lower frequency of axillary metastasis was noted in EPC than IDC. 

Conclusion

EPC is a rare distinct subtype of papillary breast tumors with overall good survival and low recurrence rate. Compared to IDC, we found EPC to be associated with better prognostic parameters such as lower tumor grade and T-stage and lower frequency of axillary metastasis.

Introduction

Papillary neoplasms are a diversified group of breast lesions that include both benign and malignant tumors [1,2]. Encapsulated papillary carcinoma (EPC) is a rare malignant papillary breast tumor that, despite a lack of distinct myoepithelial layer, is considered an in situ carcinoma unless associated with a frank invasive component. Histologically, this tumor is characterized by a thick fibrous capsule, as is thought to arise inside a single duct. Inside the fibrous capsule, the tumor is distinguished by low-grade solid proliferation of luminal epithelial cells associated with thin fibrovascular cores. The tumor lacks a myoepithelial layer in both the center of papillae and at the periphery. An invasive component that is generally in the form of conventional invasive ductal carcinoma (IDC) is sometimes associated with EPC. To be called EPC with invasion, the invasive component must be present outside the confines of the fibrous capsule. An entrapped breast epithelium along the needle tract after core biopsy sometimes mimics an invasive carcinoma causing diagnostic confusion. EPC, even without invasion, can lead to axillary metastasis in rare circumstances; therefore, most surgeons prefer a sentinel lymph node (SLN) biopsy before embarking on definite surgical resection.

EPC shows diffuse expression of hormonal receptors, i.e., estrogen receptor (ER) and progesterone receptor (PR), and lacks human epidermal growth factor receptor-2 (HER2/neu) expression. A few studies conducted to date depicted the indolent nature of this tumor [3]. Southeast Asia, especially Pakistan, is a high-risk area for breast cancer [4-6]. Owing to the lack of screening programs, patients with breast tumors typically present late, leading to a bad prognosis [7]. Moreover, young age breast tumors, including triple-negative breast tumors, are also common in this region [8,9]. Data regarding clinicopathologic features of rare breast tumors like EPC are especially scarce. Therefore, in this study, we evaluated the clinicopathologic features of EPC and performed a clinicopathological comparison with conventional IDC.

Materials & Methods

We conducted a retrospective study in the Department of Pathology, Liaquat National Hospital and Medical College, from January 2013 to December 2019 over a period of seven years. Clinicopathological data were collected from departmental archives. Cases with neoadjuvant chemotherapy were excluded from the study. During this period, 16 cases were diagnosed as EPC, and 634 cases were labeled as IDC. Specimens included lumpectomy/breast conservation surgery (BCS) or simple mastectomy with SLN biopsy and modified radical mastectomy (MRM). All patients presented in the surgical out-patient department (OPD). After clinical examination, ultrasound and mammogram were performed, followed by trucut biopsy. After a diagnosis of atypical papillary neoplasm (with or without invasion) on trucut biopsy, definite surgery was planned. For patients with clinically and radiologically negative axillary lymph nodes, SLNs were examined intra-operatively by frozen sections and, if positive (any positive SLN macrometastasis for patients undergoing MRM and more than three positive SLN for BCS patients), were followed by axillary lymph node dissection. Alternatively, patients with clinically and radiologically positive lymph nodes after confirmation by trucut biopsy/fine needle aspiration cytology (FNAC) were followed by the axillary dissection. All specimens were received in the histopathology laboratory of Liaquat National Hospital, and gross examination was done according to standard protocols. For BCS, representative radial sections were submitted from all coded (by the surgeon) resection margins along with sections from the tumor. For small tumors (<2 cm), the whole tumor was submitted. For larger tumors (>2 cm), one section per centimeter of the tumor was submitted. Additional sections were submitted if found necessary. For mastectomy, representative sections were submitted from the posterior resection margin, main tumor, skin, nipple, and areola, along with sampling from all quadrants of the breast.

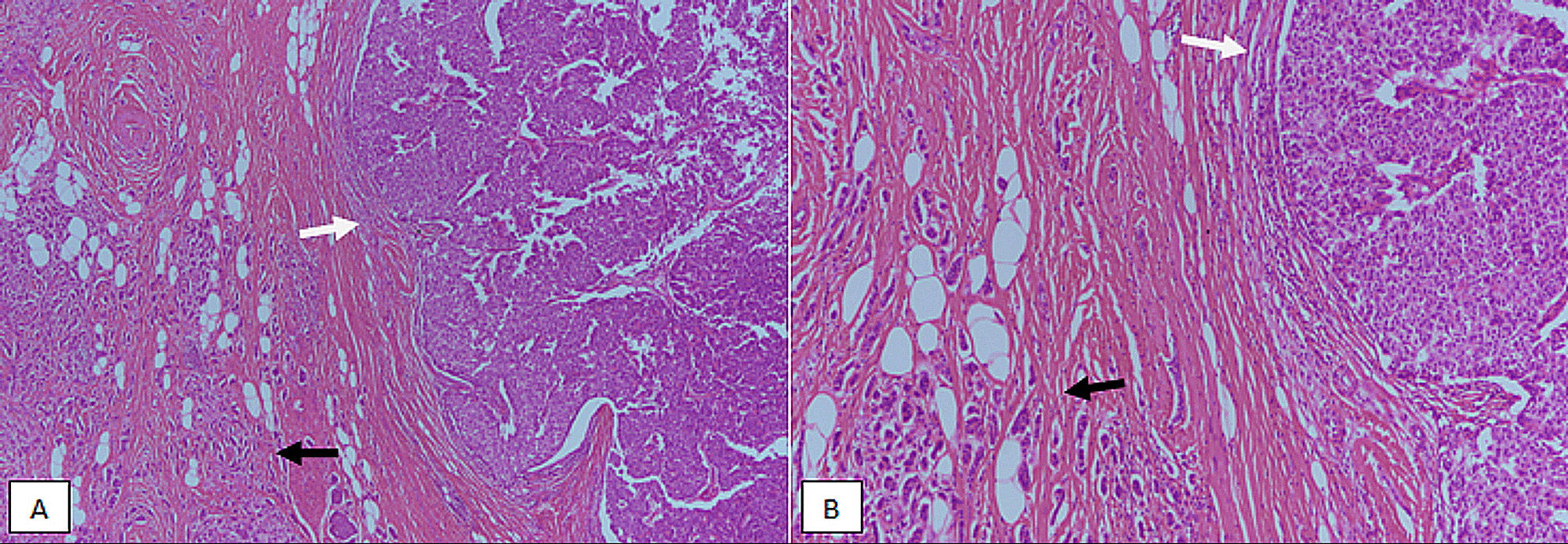
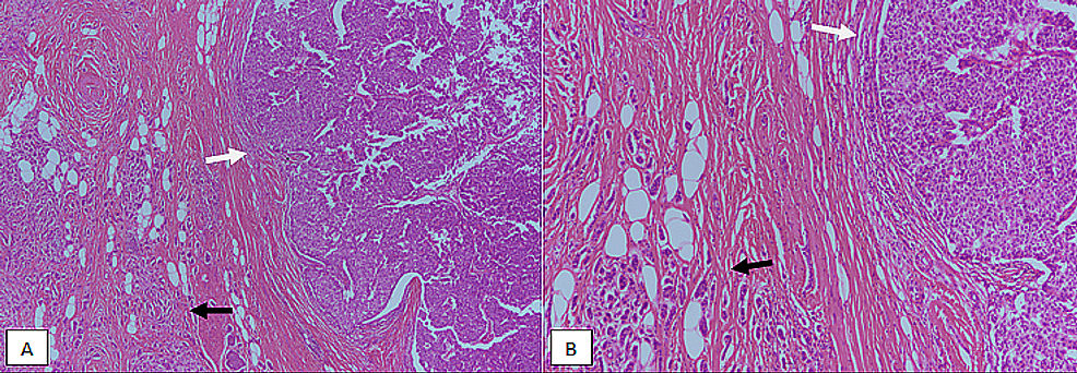
ER, PR, and HER2/neu immunohistochemical (IHC) stains were performed on both EPCs and IDC cases. Cases with equivocal HER2/neu IHC were accompanied by fluorescence in situ hybridization (FISH) studies to evaluate gene amplification. Moreover, myoepithelial IHC stains (p63 and myosin) were performed on all cases of EPC. Clinicopathologic features of EPC were compared with IDC. Histological images of EPC without and with the invasion are shown in Figures 1, 2.

All patients were followed up in the surgical OPD to evaluate recurrence. The clinical breast examination was performed in the OPD along with radiologic imaging. Cases with suspicious radiologic findings were followed by trucut biopsy to confirm recurrence.

Data analysis was performed using Statistical Package for Social Sciences (Version 26.0, IBM Inc., Armonk, USA). Chi-square, Fisher exact test, and independent t-test were used to check the association. P-values ≤ 0.05 were considered significant.

Results

Clinicopathologic features of encapsulated papillary carcinoma

The mean age of the EPC patients was 51.81±13.94 years, with a mean tumor size of 2.97±2.46 cm. The majority of cases were grade II and axillary metastasis was present in 18.8% of cases. About 56.3% of cases were in situ and 43.8% showed foci of invasion in the form of IDC. Recurrence was noted in two (12.5%) cases with a survival rate of 93.8%. Two cases that observed recurrence had BCS, one of which expired due to disease. There was no additional co-morbidity present in that case. ER, PR, and HER2/neu positivity was noted in 81.3%, 75%, and 12.5% cases, respectively. The clinicopathologic features of EPC are shown in Table 1.

Clinicopathologic characteristics Frequency (%)
Age (years)  
Mean±SD 51.81±13.94
Age groups  
≤50 years 8 (50)
>50 years 8 (50)
Tumor size (cm)  
Mean±SD 2.97±2.46
Tumor size groups  
<2 cm 7 (43.8)
2-5 cm 7 (43.8)
>5 cm 2 (12.5)
Follow up (months) Mean±SD (Median) 23.93±17.34 (30)
Specimen type  
Lumpectomy 11 (68.8)
Simple mastectomy 1 (6.3)
MRM 4 (25)
N Stage  
N0 13 (81.2)
N1 3 (18.8)
N2 0 (0)
N3 0 (0)
T Stage  
Tis 9 (56.3)
T1 7 (43.8)
T2 0 (0)
T3 0 (0)
Grade  
Grade-I 3 (18.8)
Grade-II 12 (75)
Grade-III 1 (6.3)
Lymphovascular invasion
Present 0 (0)
Absent 16 (100)
Axillary metastasis  
Present 3 (18.8)
Absent 13 (81.2)
ER  
Positive 13 (81.3)
Negative 3 (18.7)
PR  
Positive 12 (75)
Negative 4 (25)
HER2/neu  
Positive 2 (12.5)
Negative 14 (87.5)
Type of EPC
EPC in situ 9 (56.3)
EPC with invasion 7 (43.8)
Recurrence  
Yes 2 (12.5)
No 14 (87.5)
Survival Status  
Alive 15 (93.8)
Expired 1 (6.2)

The most common clinical presentation was breast lump (93.75%), followed by nipple discharge (18.75%). Radiological findings were available in 13 cases. The hypoechoic solid mass was the most common ultrasound findings, with breast imaging-reporting and data system (BI-RADS) 4 being the most common BI-RADS assessment category on mammograms. Detailed radiological and clinical findings are presented in Table 2.

Clinical/ radiologic finding Frequency (%)
Clinical presentation (n=16)  
Breast lump 15 (93.75)
Breast pain 1 (6.25)
Nipple discharge 3 (18.75)
Nipple retraction 1 (6.25)
Ultrasound findings (n=13)  
Hypoechoic solid mass 8 (61.5)
Complex cyst 3 (23.07)
Mural based nodule 1 (7.69)
Mamogram findings (n=13)  
BI-RADS assessment category  
BI-RADS 0 1 (7.69)
BI-RADS 3 1 (7.69)
BI-RADS 4 7 (53.84)
BI-RADS 5 4 (30.76)
Margins  
Well defined 9 (69.23)
Indistinct 3 (23.07)
Spiculated 1 (7.69)
Microcalcifications  
Present 3 (23.07)
Absent 10 (76.92)

Comparison of encapsulated papillary carcinoma with invasive ductal carcinoma

Table 3 shows the comparison of clinicopathological features of EPCs with IDC. EPC was noted to have significantly lower tumor grade and pathological T-stage than IDC. Similarly, a lower frequency of axillary metastasis was noted in EPC than IDC. EPC was found to have a higher frequency of ER and PR positivity and lower HER2/neu positivity; however, the results were not statistically significant.

Clinicopathologic characteristics Encapsulated papillary carcinoma (n=16) Invasive ductal carcinoma (n=634) P-value
Age (years)      
Mean±SD 51.81±13.94 51.95±12.15 0.965***
Age groups      
≤50 years 8 (50) 306 (48.3) 0.891**
>50 years 8 (50) 328 (51.7)
Tumor size (cm)      
Mean±SD 2.97±2.46 3.61±1.48 0.098***
Tumor size groups      
<2 cm 7 (43.8) 52 (8.2) 0.0001**
2-5 cm 7 (43.8) 485 (76.5)
>5 cm 2 (12.5) 97 (15.3)
N Stage      
N0 13 (81.2) 320 (50.5) 0.053**
N1 3 (18.8) 130 (20.5)
N2 0 (0) 85 (13.4)
N3 0 (0) 99 (15.6)
T Stage      
Tis 9 (56.3) 0 (0) 0.0001**
T1 7 (43.8) 83 (13.1)
T2 0 (0) 454 (71.6)
T3 0 (0) 97 (15.3)
Grade      
Grade-I 3 (18.8) 53 (8.4) 0.002**
Grade-II 12 (75) 293 (46.2)
Grade-III 1 (6.3) 288 (45.4)
Lymphovascular invasion    
Present 0 (0) 157 (24.8) 0.017**
Absent 16 (100) 477 (75.2)
Axillary metastasis      
Present 3 (18.8) 314 (49.5) 0.015*
Absent 13 (81.2) 320 (50.5)
ER      
Positive 13 (81.3) 399 (62.9) 0.133*
Negative 3 (18.7) 235 (37.1)
PR      
Positive 12 (75) 323 (50.9) 0.057*
Negative 4 (25) 311 (49.1)
HER2/neu      
Positive 2 (12.5) 223 (35.2) 0.060*
Negative 14 (87.5) 411 (64.8)

Discussion

In this study, we evaluated the clinicopathological features of a rare breast cancer subtype, i.e., EPC, and compared its clinicopathological features with IDC. We noted that in our study, EPC had lower tumor grade and T-stage than IDC. Moreover, axillary metastasis, an important prognostic factor in breast cancer, was lower in EPC compared to IDC.

EPC is considered an indolent variant of breast cancer. A clinicopathologic study of 49 cases of EPC revealed hormone receptor expression in more than 90% of cases and nodal metastasis in 7.7% cases. Follow-up revealed local recurrence in 17% of cases [10]. In our study, ER expression was seen in 81.3% cases and nodal metastasis was noted in 18.8% cases that were lower than IDC (49.5%).

EPC is a biologically unique category of breast carcinoma with an invasive potential intermediate between ductal carcinoma in situ (DCIS) and IDC of breast. A study assessed the invasive potential of EPCs by evaluating the expression of matrix metalloproteinases, transforming growth factor receptor-beta, vascular endothelial growth factor (VEGF), and E-cadherin in EPC and concluded that EPC exhibited expression of invasion-associated markers, but to a lesser degree compared to IDC of the breast [11]. Despite this invasive potential, EPC is staged as in situ carcinoma unless associated with an invasive component outside the tumor capsule. In our study, invasive carcinoma associated with EPC was noted in 43.8% of cases.

EPC is a diagnostic challenge on core needle biopsy, and thus, understanding the role of myoepithelial markers is pivotal. Any papillary tumor with a lack of myoepithelial staining at the periphery of the tumor should be diagnosed as atypical (if there is no evidence of invasive component) and advised for excision. However, it is difficult to assess the periphery of the tumor on core needle biopsy for the evaluation of myoepithelial markers. In our study, most of the cases were diagnosed as atypical papillary neoplasm on core needle biopsy, and surgical excision was advised.

Racha et al. evaluated 208 cases of intracystic papillary carcinoma (old terminology for EPC) and observed only 3% incidence of nodal metastasis and infrequent development of local or distant recurrence, thus conferring excellent prognosis [12]. We found local recurrence in two cases, both of which had BCS with the closest 2-mm resection margin. Additionally, both of these cases had an invasive component. The presence of invasion is an important factor determining disease outcome in cases with EPC. A study conducted in Pakistan evaluated 25 cases of EPC and confirmed invasion in 44% cases [13]. We found invasion in 43.8% cases. Despite the presence of invasion, overall pathological parameters were better in EPC than IDC in our study.

We acknowledge a few limitations of our study. First, the number of cases was few. Second, the survival status of IDC was not evaluated for comparison with IDC that should be addressed in future studies of the same nature.

Conclusions

EPC is a rare indolent subtype of breast cancer with good overall survival. Compared to IDC, EPC was found to have better prognostic pathological parameters such as lower grade and T-stage and lesser frequency of axillary metastasis. Understanding the histological features of this rare papillary breast tumor is essential for pathologists, especially identifying the presence of invasion as we found invasion in a substantial number of EPC cases in our study.


References

  1. Wei S: Papillary lesions of the breast: an update. Arch Pathol Lab Med. 2016, 140:628-643. 10.5858/arpa.2015-0092-RA
  2. Hashmi AA, Faraz M, Rafique S, Adil H, Imran A: Spectrum of papillary breast lesions according to World Health Organization classification of papillary neoplasms of breast. Cureus. 2020, 12:e11026. 10.7759/cureus.11026
  3. Steponavičienė L, Gudavičienė D, Briedienė R, Petroška D, Garnelytė A: Diagnosis, treatment, and outcomes of encapsulated papillary carcinoma: a single institution experience. Acta Med Litu. 2018, 25:66-75. 10.6001/actamedica.v25i2.3759
  4. Hashmi AA, Edhi MM, Naqvi H, Khurshid A, Faridi N: Molecular subtypes of breast cancer in South Asian population by immunohistochemical profile and Her2neu gene amplification by FISH technique: association with other clinicopathologic parameters. Breast J. 2014, 20:578-585. 10.1111/tbj.12329
  5. Hashmi AA, Aijaz S, Khan SM, et al.: Prognostic parameters of luminal A and luminal B intrinsic breast cancer subtypes of Pakistani patients. World J Surg Oncol. 2018, 16:1. 10.1186/s12957-017-1299-9
  6. Hashmi AA, Aijaz S, Mahboob R, et al.: Clinicopathologic features of invasive metaplastic and micropapillary breast carcinoma: comparison with invasive ductal carcinoma of breast. BMC Res Notes. 2018, 11:531. 10.1186/s13104-018-3623-z
  7. Hashmi AA, Hashmi KA, Irfan M, et al.: Ki67 index in intrinsic breast cancer subtypes and its association with prognostic parameters. BMC Res Notes. 2019, 12:605. 10.1186/s13104-019-4653-x
  8. Hashmi AA, Naz S, Hashmi SK, et al.: Epidermal growth factor receptor (EGFR) overexpression in triple-negative breast cancer: association with clinicopathologic features and prognostic parameters. Surg and Exp Pathol. 2019, 2:6. 10.1186/s42047-018-0029-0
  9. Hashmi AA, Naz S, Hashmi SK, et al.: Prognostic significance of p16 & p53 immunohistochemical expression in triple negative breast cancer. BMC Clin Pathol. 2018, 18:9. 10.1186/s12907-018-0077-0
  10. Li X, Xu Y, Ye H, Qin S, Hou F, Liu W: Encapsulated papillary carcinoma of the breast: a clinicopathological study of 49 cases. Curr Probl Cancer. 2018, 42:291-301. 10.1016/j.currproblcancer.2018.03.005
  11. Rakha EA, Tun M, Junainah E, Ellis IO, Green A: Encapsulated papillary carcinoma of the breast: a study of invasion associated markers. J Clin Pathol. 2012, 65:710-714. 10.1136/jclinpath-2012-200710
  12. Rakha EA, Gandhi N, Climent F, et al.: Encapsulated papillary carcinoma of the breast: an invasive tumor with excellent prognosis. Am J Surg Pathol. 2011, 35:1093-1103. 10.1097/PAS.0b013e31821b3f65
  13. Tariq MU, Idress R, Qureshi MB, Kayani N: Encapsulated papillary carcinoma of breast; a clinicopathological study of 25 cases and literature review with emphasis on high grade variant. Ann Diagn Pathol. 2020, 49:151613. 10.1016/j.anndiagpath.2020.151613

Original article
peer-reviewed

Encapsulated Papillary Carcinoma of Breast: Clinicopathological Features and Prognostic Parameters


Author Information

Atif A. Hashmi Corresponding Author

Pathology, Liaquat National Hospital and Medical College, Karachi, PAK

Syeda N. Iftikhar

Pathology, Liaquat National Hospital and Medical College, Karachi, PAK

Shahzeb Munawar

Internal Medicine, Liaquat College of Medicine and Dentistry, Karachi, PAK

Public Health, Baylor University, Waco, USA

Arham Shah

Internal Medicine, Ziauddin University, Karachi, PAK

Muhammad Irfan

Statistics, Liaquat National Hospital and Medical College, Karachi, PAK

Javaria Ali

Pathology, Liaquat National Hospital and Medical College, Karachi, PAK


Ethics Statement and Conflict of Interest Disclosures

Human subjects: Consent was obtained by all participants in this study. Animal subjects: All authors have confirmed that this study did not involve animal subjects or tissue. Conflicts of interest: In compliance with the ICMJE uniform disclosure form, all authors declare the following: Payment/services info: All authors have declared that no financial support was received from any organization for the submitted work. Financial relationships: All authors have declared that they have no financial relationships at present or within the previous three years with any organizations that might have an interest in the submitted work. Other relationships: All authors have declared that there are no other relationships or activities that could appear to have influenced the submitted work.



Original article
peer-reviewed

Encapsulated Papillary Carcinoma of Breast: Clinicopathological Features and Prognostic Parameters


Figures etc.

SIQ
7.9
RATED BY 11 READERS
CONTRIBUTE RATING

Scholarly Impact Quotient™ (SIQ™) is our unique post-publication peer review rating process. Learn more here.