"Never doubt that a small group of thoughtful, committed citizens can change the world. Indeed, it is the only thing that ever has."

Margaret Mead

Case report
peer-reviewed

Delayed Cerebral Abnormalities in Acute Hyperammonemic Encephalopathy



Abstract

Acute hyperammonemic encephalopathy (AHE) is a rare but life-threatening condition. We present a case of an 81-year-old woman with cirrhotic AHE who presented with prolonged disorientation. Her magnetic resonance (MR) images were normal on the third hospital day, which showed bilateral abnormalities in the insular and cingulate cortices on day 13. The imaging abnormalities were slightly improved but remained on day 24. The imaging abnormalities seemed correlated with her persistent disorientation. AHE can present as delayed cerebral abnormalities, and follow-up imaging tests are useful in detecting such conditions. Further reports are needed to investigate the correlation between imaging abnormalities and clinical outcomes in patients with AHE.

Introduction

Patients with acute hyperammonemic encephalopathy (AHE) present with impaired consciousness, seizures, and death due to the toxic effect of ammonia on the brain [1]. AHE can be caused by hepatic disorders, urea cycle disorders, and drugs, including antiepileptics [2].

The typical radiologic findings of AHE have been known as four different types: diffuse cerebral edema, extensive infarct-like abnormalities, ischemic lesions, and symmetric cortical involvement [3]. However, little is known about the time course of changes in imaging findings of AHE.

Here we describe a patient with cirrhotic AHE who presented with persistent disorientation. Her magnetic resonance (MR) images of the brain were normal on admission, which later showed bilateral cortical abnormalities.

Case Presentation

An 81-year-old Japanese woman with hepatitis B virus-related cirrhosis admitted to our hospital because of impaired consciousness. Her heart rate was 103 beats per minute, blood pressure 154/72 mmHg, temperature 98℉, and respiratory rate 16 per minute. Neurological examination did not reveal neck rigidity and abnormal deep tendon reflexes. She was suspected of having hepatic encephalopathy because of asterixis and received branched-chain amino acids and lactulose. The plasma ammonia level was 322 μg/dL as seen in Table 1, and cerebrospinal fluid polymerase chain reaction for herpes simplex virus was negative.

  Day 1 Day 2 Day 3 Day 4 Day 5 Day 10 Day 15 Day 23 Day 41 Day 51
White blood cell (/μL) 11,100 17,000 20,500 17,300 16,800 7,700 8,600 7,800 8,000 6,600
Hemoglobin (g/dL) 7.2 6.6 9.7 8.6 8 8.3 8.8 8.7 7.8 8.4
Platelet (×10⁴ /μL) 21.6 24.4 23.6 18.8 11.7 9.9 12.9 9.1 10.4 10.7
Asparete aminotransferase (U/L) 22 30 29 73 95 132 70 38 28 37
Alanine aminotransferase (U/L) 12 12 13 26 81 133 102 41 17 15
Lactate dehydrogenase (U/L) 302 383 494 622 456 468 553 632 411 446
Alkaline phosphatase (U/L) 189   185 152 174 741 739 595    
γ-glutamyl transferase (U/L) 40 37 35 41 60 378 321 226 122  
Sodium (mEq/L) 140 142 148 150 161 146 153 155 147 150
Chlorine (mEq/L) 98 101 106 114 129 115 118 121 110 112
Pottasium (mEq/L) 2.8 3.1 3 4 3.6 3.8 3.1 4 4.2 4.9
Urea nitrogen (mg/dL) 80.1 93.3 131.1 153.1 125.6 32.3 42.2 31.5 40 30.5
Creatinine (mg/dL) 0.95 1.22 1.92 1.81 1.15 0.94 0.81 0.81 0.73 0.66
Ammonia (μg/dL)   322 417 214 115 54 42   57  
C-reactive protein (mg/dL) 2.2 2.24 3.32 4.63 3.94 1.8 2.91 0.97 3.21 1.84

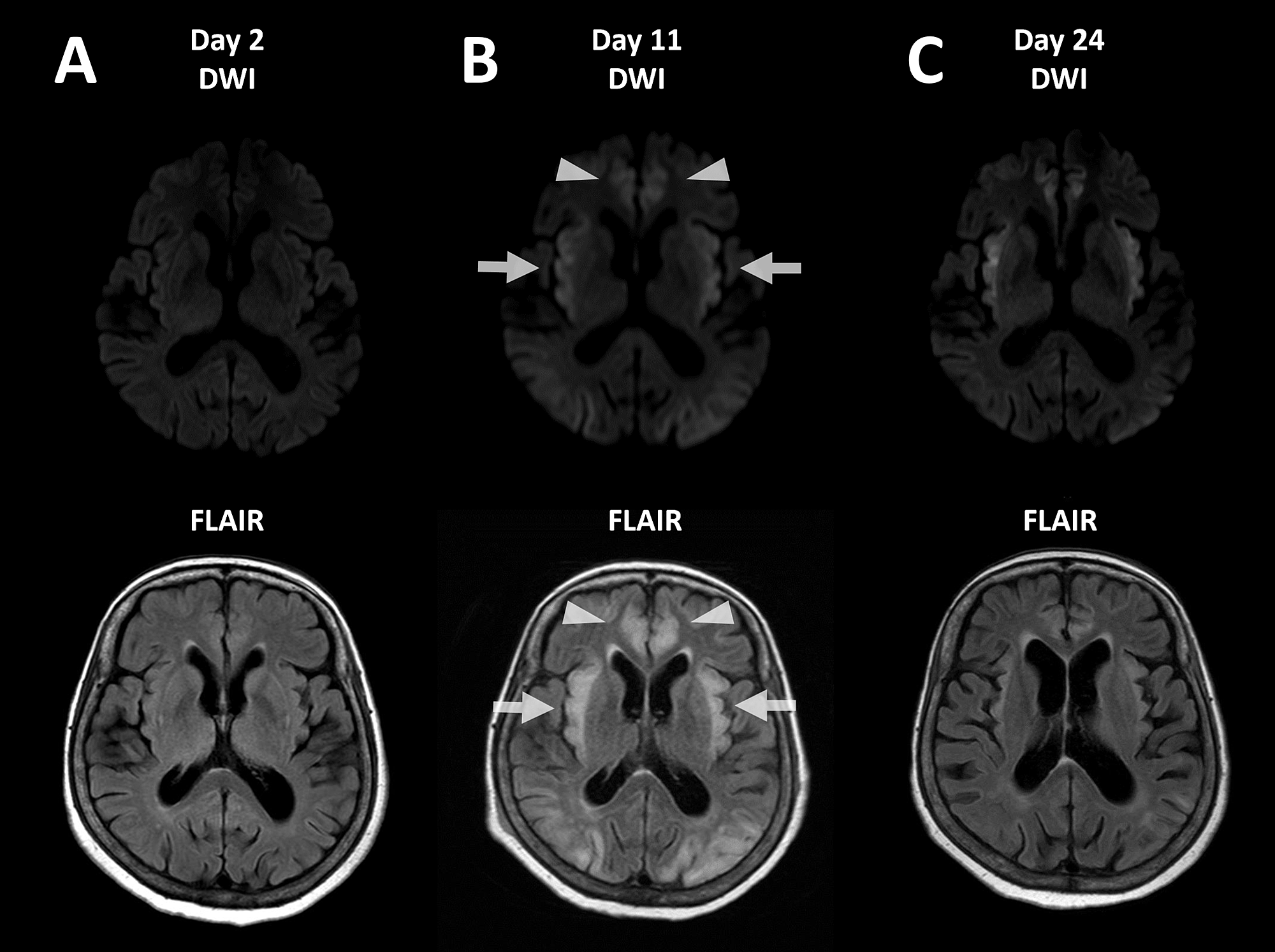
Initial MR images of the brain showed no remarkable changes (Figure 1A). Electroencephalogram revealed triphasic waves.

She developed status epilepticus and was intubated on the third hospital day. MR images on day 11 showed symmetric abnormal signal intensity in the insular and cingulate cortices bilaterally, which suggested the toxic effect of accumulated ammonia (Figure 1B).

Her consciousness improved slightly after extubation on day 13, when the plasma ammonia level was 32 μg/dL. The abnormal signal intensity on the brain MR images partially improved on day 24, but her disorientation remained (Figure 1C). She was transferred to a long-stay hospital to continue rehabilitation on day 52.

Discussion

We found out two important clinical issues. AHE can present as delayed cerebral abnormalities. Follow-up MR imaging is useful for the diagnosis of this condition.

First, AHE can present as late-onset abnormalities of the brain. Previous reports have described various radiographic findings of AHE (Table 2).

Author Case Age Gender Etiology Plasma ammonia MR imaging finding
Gomceli YB, et al. (2007) [4] 1 20 female drug-induced liver injury (valproic acid) 133 mg/dL right mesial temporal sclerosis
  2 23 female drug-induced liver injury (valproic acid) 132 mg/dL cerebellar agenesis
  3 28 male drug-induced liver injury (valproic acid) 130 mg/dL postoperative changes (related to the brain surgery)
  4 56 male drug-induced liver injury (valproic acid) 115 mg/dL lacunar infarcts
  5 55 female drug-induced liver injury (valproic acid) 124 mg/dL normal
  6 64 female drug-induced liver injury (valproic acid) 142 mg/dL normal
  7 39 male drug-induced liver injury (valproic acid) 122 mg/dL normal
Velioğlu SK, et al. (2007) [5] 8 19 male drug-induced liver injury (valproic acid) 119 μg/dL not available
U-King-Im JM, et al. (2011) [6] 9 24 female post-heart-lung transplant 286 μg/dL bilateral changes in the  insular and cingulate cortices
  10 48 male drug-induced liver injury (acetaminophen) 173 μg/dL bilateral canges in the insular and cingulate cortices, and thalami
  11 55 male HCV-related cirrhosis 139 μg/dL bilateral changes in the  insular and cingulate cortices
  12 42 female post-liver transplant graft rejection 94 μg/dL bilateral changes in the  insular and cingulate cortices
Tarafdar S, et al. (2011) [7] 13 36 male drug-induced liver injury (valproic acid) 483 μg/dL not available
Treusch NA, et al. (2012) [8] 14 59 female primary biliary cirrhosis 374 mg/dL an oval-shaped change in the white matter
Rosario M, et al. (2013) [9] 15 49 female alcoholic cirrhosis 723 μg/dL bilateral canges in the insular and cingulate cortices, and thalami
  16 49 male alcoholic cirrhosis 396 μg/dL bilateral canges in the insular and cingulate cortices, and thalami
  17 40 female drug-induced liver injury (acetaminophen) 369 μg/dL bilateral canges in the insular and cingulate cortices, and thalami
Shinde SS, et al. (2014) [10] 18 21 male hepatocellular carcinoma 1,032 mg/dL not available
Mahmood T, et al. (2015) [11] 19 35 female OTC deficiency 593 μg/dL normal
Algahtani H, et al. (2018) [12] 20 26 female OTC deficiency 466 μg/dL ovale-shaped changes in the white matter, bilateral changes in the insular cortices
Reis E, et al. (2020) [13] 21 56 male Ureaplasma infection 661 μg/dL bilateral canges in the insular and cingulate cortices, and thalami
  22 45 male drug-induced liver injury (acetaminophen) >400 μg/dL bilateral canges in the insular and cingulate cortices, and thalami
  23 49 male cirrhosis (unknown cause) 745 μg/dL bilateral changes in the  insular and cingulate cortices
Pendela VS, et al. (2020) [2] 24 53 male OTC deficiency 519 μg/dL normal
our case 25 81 female HBV-related cirrhosis 322 μg/dL bilateral changes in the  insular and cingulate cortices

The mechanism of these findings has not been fully elucidated, but a major hypothesis is that glutamine produced from ammonia causes swelling of astrocytes, resulting in brain edema. Other hypotheses include the production of the neurotoxin alpha-ketoglutaramate [14]. However, several reports have described AHE patients whose radiographic findings of the brain were within normal limits. These patients might have presented with delayed cerebral edema if they had undergone follow-up imaging tests.

Second, follow-up MR imaging is useful in detecting late-onset cerebral abnormalities. Our patient showed prolonged MR imaging abnormalities, which seemed correlated with her persistent disorientation. Treusch and colleagues described a woman with HAE who became asymptomatic two weeks after onset when her MR images also became normal [8]. Although the relationship between abnormalities on MR images and neurological prognosis has not been investigated, follow-up MR imaging may be useful in predicting neurological recovery of HAE patients. The differential diagnosis of symmetric abnormal signal intensity in MR images includes posterior reversible encephalopathy syndrome, seizure activity, and diffuse hypoxic-ischemic injury [6].

The delayed imaging findings of diseases have well been described in other fields, which can be detected by follow-up imaging tests. For example, it has been known that patients with early pneumonia may not present with significant findings on chest radiographs [15]. Follow-up chest radiography is useful in diagnosing pneumonia in some of these patients [16]. Imaging tests should, if possible, be evaluated more than once to assess the state of diseases over time.

Conclusions

AHE can present as delayed cerebral abnormalities, and follow-up MR imaging is useful for the diagnosis of this condition. These abnormalities can be revealed in MR images several days after the serum ammonia level reaches its peak, and can be missed without follow-up imaging tests. Further reports should be accumulated to determine whether “hidden” AHE may be much more frequently present and whether follow-up imaging tests may contribute to picking up AHE patients with poor clinical outcomes.


References

  1. Clay AS, Hainline BE: Hyperammonemia in the ICU. Chest. 2007, 132:1368-1378. 10.1378/chest.06-2940
  2. Pendela VS, Kudaravalli P, Munoz A, Razzouk G: A mysterious case of recurrent acute hyperammonemic encephalopathy. Cureus. 2020, 12:e7484. 10.7759/cureus.7484
  3. Takanashi J, Barkovich AJ, Cheng SF, Kostiner D, Baker JC, Packman S: Brain MR imaging in acute hyperammonemic encephalopathy arising from late-onset ornithine transcarbamylase deficiency. AJNR Am J Neuroradiol. 2003, 24:390-393.
  4. Gomceli YB, Kutlu G, Cavdar L, Sanivar F, Inan LE: Different clinical manifestations of hyperammonemic encephalopathy. Epilepsy Behav. 2007, 10:583-587. 10.1016/j.yebeh.2007.02.013
  5. Velioğlu SK, Gazioğlu S: Non-convulsive status epilepticus secondary to valproic acid-induced hyperammonemic encephalopathy. Acta Neurol Scand. 2007, 116:128-132. 10.1111/j.1600-0404.2006.00793.x
  6. U-King-Im JM, Yu E, Bartlett E, Soobrah R, Kucharczyk W: Acute hyperammonemic encephalopathy in adults: imaging findings. AJNR Am J Neuroradiol. 2011, 32:413-418. 10.3174/ajnr.A2290
  7. Tarafdar S, Slee M, Ameer F, Doogue M: A case of valproate induced hyperammonemic encephalopathy. Case Rep Med. 2011, 969505. 10.1155/2011/969505
  8. Treusch NA, van de Loo S, Hattingen E: Reversible laminar signal intensity in deep cortical gray matter in T1-weighted images and FLAIR after mild acute hyperammonemic hepatic encephalopathy. J Neuroradiol. 2012, 39:350-353. 10.1016/j.neurad.2012.03.002
  9. Rosario M, McMahon K, Finelli PF: Diffusion-weighted imaging in acute hyperammonemic encephalopathy. Neurohospitalist. 2013, 3:125-130. 10.1177/1941874412467806
  10. Shinde SS, Sharma P, Davis MP: Acute hyperammonemic encephalopathy in a non-cirrhotic patient with hepatocellular carcinoma reversed by arginine therapy. J Pain Symptom Manage. 2014, 47:E5-E7. 10.1016/j.jpainsymman.2014.01.002
  11. Mahmood T, Nugent K: Nonhepatic hyperammonemic encephalopathy due to undiagnosed urea cycle disorder. Proc (Bayl Univ Med Cent). 2015, 28:375-377. 10.1080/08998280.2015.11929281
  12. Algahtani H, Alameer S, Marzouk Y, Shirah B: Urea cycle disorder misdiagnosed as multiple sclerosis: a case report and review of the literature. Neuroradiol J. 2018, 31:213-217. 10.1177/1971400917715880
  13. Reis E, Coolen T, Lolli V: MRI findings in acute hyperammonemic encephalopathy: three cases of different etiologies. J Belg Soc Radiol. 2020, 104:9. 10.5334/jbsr.2017
  14. Butterworth RF: Pathophysiology of brain dysfunction in hyperammonemic syndromes: the many faces of glutamine. Mol Genet Metab. 2014, 113:113-117. 10.1016/j.ymgme.2014.06.003
  15. Basi SK, Marrie TJ, Huang JQ, Majumdar SR: Patients admitted to hospital with suspected pneumonia and normal chest radiographs: epidemiology, microbiology, and outcomes. Am J Med. 2004, 117:305-311. 10.1016/j.amjmed.2004.03.029
  16. Hagaman JT, Rouan GW, Shipley RT, Panos RJ: Admission chest radiograph lacks sensitivity in the diagnosis of community-acquired pneumonia. Am J Med Sci. 2009, 337:236-240. 10.1097/MAJ.0b013e31818ad805

Case report
peer-reviewed

Delayed Cerebral Abnormalities in Acute Hyperammonemic Encephalopathy


Author Information

Hiroshi Ito Corresponding Author

Division of Hospital Medicine, University of Tsukuba Hospital, Tsukuba, JPN

Yasuhiro Ogawa

Division of Hospital Medicine, University of Tsukuba Hospital, Tsukuba, JPN

Nobutake Shimojo

Division of Hospital Medicine, University of Tsukuba Hospital, Tsukuba, JPN

Satoru Kawano

Division of Hospital Medicine, University of Tsukuba Hospital, Tsukuba, JPN


Ethics Statement and Conflict of Interest Disclosures

Human subjects: Consent was obtained by all participants in this study. Conflicts of interest: In compliance with the ICMJE uniform disclosure form, all authors declare the following: Payment/services info: All authors have declared that no financial support was received from any organization for the submitted work. Financial relationships: All authors have declared that they have no financial relationships at present or within the previous three years with any organizations that might have an interest in the submitted work. Other relationships: All authors have declared that there are no other relationships or activities that could appear to have influenced the submitted work.



Case report
peer-reviewed

Delayed Cerebral Abnormalities in Acute Hyperammonemic Encephalopathy


Figures etc.

SIQ
8.5
RATED BY 3 READERS
CONTRIBUTE RATING

Scholary Impact Quotient™ (SIQ™) is our unique post-publication peer review rating process. Learn more here.