"Never doubt that a small group of thoughtful, committed citizens can change the world. Indeed, it is the only thing that ever has."

Margaret Mead
On May 25, 2018, the GDPR (General Data Protection Regulation) went into effect and changed how organizations deal with personal data of customers located in the EU. Though GDPR was built to protect Europeans, it will affect organizations around the world doing business in the EU. Because of this we are asking our users located in the EU to opt in to the data we collect in order to bring a better web experience. Opt-In

Case report
peer-reviewed

Polypoid Adenomyoma of the Uterus



Abstract

Polypoid adenomyoma is a rare uterine endometrial polypoid tumor of mixed epithelial and mesenchymal origin. Although the clinical and pathologic features of polypoid adenomyomas have been described extensively, imaging findings for these tumors have not been frequently reported in the literature. On imaging, their features may be confused with prolapsed leiomyomas or malignancy. Hemorrhagic cystic spaces in a prolapsed uterine tumor within the vagina should raise consideration of a diagnosis of polypoid adenomyoma. Such blood-containing cystic spaces would be unusual findings in leiomyomas and malignancy. Diagnosing polypoid adenomyoma is vital because it can potentially be managed by hysteroscopic resection, unlike an ordinary form of adenomyosis.

Introduction

Polypoid adenomyoma of the uterus is an endometrial polyp in which the stromal component is made up of smooth muscle [1]. These are benign tumors and account for 1.3% of all endometrial polyps. Polypoid adenomyomas are of mixed epithelial and mesenchymal origin [2]. Although their clinical and pathological features have been described well in literature, imaging findings for these tumors have been seldom reported.

We report a case of a 44-year-old woman with urinary retention who had a prolapsed polypoidal uterine lesion on imaging which was confirmed to be polypoid adenomyoma on histopathology. We aim to review the imaging findings and the relevant literature on this rare entity.

Case Presentation

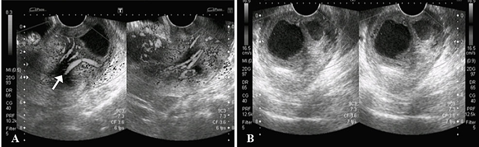
A 44-year-old previously healthy woman presented to the emergency department complaining of urinary retention. Transabdominal (Figure 1) and transvaginal (Figure 2) ultrasound showed a heterogeneous area measuring 53 x 27 mm in the superior one-third of vagina with evidence of cystic spaces containing internal echoes. Significant vascularity was seen in the lower endometrium and cervix which was extending into this heterogeneous area. The sonographic findings were concluded as a pedunculated endometrial polyp or prolapsed fibroid with cystic degeneration.

Magnetic resonance imaging (MRI) of the pelvis with contrast was then done which demonstrated a large, well-defined abnormal signal intensity polypoidal mass distending the endocervical canal and extending through the external os (external orifice) into the upper one-third of the vagina. It was measuring 46 x 46 x 58 mm in maximum dimensions. It appeared to be connected to the uterine endometrium by a T2-hypointense stalk seen within the endometrial cavity. No evidence of invasion into adjacent structures was seen. The uterine junctional zone was also thickened and ill-defined, which was suggestive of adenomyosis. The lesion contained rounded T1-hyperintense cystic spaces with fluid-fluid level within it, suggestive of hemorrhages. The lesion did not show significant diffusion restriction, and enhanced heterogeneously in the post-contrast study. Post-contrast enhancement was relatively less than that of myometrium (Figures 3-5).

The initial differential diagnoses included endometrial polyp or submucosal leiomyoma with cystic degeneration. Prolapsed malignancy was a less likely differential because there was no diffusion restriction. The patient proceeded to have a hysteroscopy, endometrial biopsy and vaginal myomectomy. Histopathology of the specimen revealed polypoid adenomyoma, with no evidence of malignancy.

Discussion

An adenomyoma, which protrudes into the endometrial cavity, is referred to as a polypoid adenomyoma [3]. These tumors are rare and can be divided into typical and atypical types based on the histopathology. Histologically, typical polypoid adenomyomas have regular, benign, tubular endometrial glands within a benign appearing smooth muscle stroma and well-demarcated myometrial smooth muscle [4]. On the other hand, endometrial glands with varying degrees of atypia within a myofibromatous stroma are identified in atypical polypoid adenomas [5]. Grossly polypoid adenomyomas appear no different than ordinary endometrial polyps. The presenting symptom is usually abnormal vaginal bleeding and generally occurs in patients of the reproductive age group [6]. Our patient presented unusually with urinary retention, possibly due to mass effect of the lesion in the vagina.

On ultrasound, polypoid adenomyomas can appear as solid, well-circumscribed endometrial masses with cystic areas [2]. On MRI, they are found to be well-defined intracavitary uterine masses and may involve the lower uterine segment, endocervix or uterine corpus. On T1-weighted images they are usually isointense. Signal intensity on T2-weighted images may depend on the size and amount of glands within the tumor. The presence of a visible stalk passing through the cervix and connecting a prolapsed mass back to the uterus is a helpful imaging finding that is often best appreciated at MRI and indicates a prolapsed uterine tumor, as seen in our patient. The stalk connecting an apparent cervical mass to the endometrial cavity, seen on MR imaging, is referred to the broccoli sign [7]. Some of these tumors may also show hemorrhage within the cystic spaces, which appear as hyperintense foci on T1-weighted images and are not suppressed on fat-suppressed T1-weighted imaging [8].

Therefore, hemorrhagic cystic spaces in a prolapsed uterine tumor are suggestive of a diagnosis of typical polypoid adenomyoma, especially in a premenopausal female with additional findings suggestive of adenomyosis as seen in our case. Blood-containing cystic spaces would be infrequently seen in leiomyomas and malignancy, although potentially can be seen in the setting of leiomyomas with red degeneration and in uterine sarcomas [9]. The enhancement pattern of polypoid adenomyomas is said to be irregular/heterogeneous. Diagnosing polypoid adenomyoma is essential because it may be managed by hysteroscopic resection, unlike an ordinary form of adenomyosis [10].

Conclusions

Although the clinical and pathological features of polypoid adenomyomas have been described extensively, imaging findings for these tumors have been infrequently reported in the literature. Hemorrhagic cystic spaces in a prolapsed uterine tumor within the vagina should raise consideration of a diagnosis of polypoid adenomyoma. Such blood-containing cystic spaces would be unusual findings in leiomyomas and malignancy.


References

  1. Kenny SL, McCluggage WG: Adenomyomatous polyp of the endometrium with prominent epithelioid smooth muscle differentiation: report of two cases of a hitherto undescribed lesion. Int J Surg Pathol. 2014, 22:358-363. 10.1177/1066896913499630
  2. Huang C, Hong MK, Ding DC: Endometrial adenomyoma polyp caused postmenopausal bleeding mimicking uterine malignancy. Gynecol Minim Invasive Ther. 2017, 6:129-131. 10.1016/j.gmit.2016.08.006
  3. Raghavendra Babu YP, Karki RK, Menezes RG, Jagadish Rao PP, Shetty SK, Sahu KK: Adenomyomatous polyp of the uterus: report of an autopsy case and review of the literature. J Forensic Leg Med. 2012, 19:236-238. 10.1016/j.jflm.2012.02.003
  4. Tahlan A, Nanda A, Mohan H: Uterine adenomyoma: a clinicopathologic review of 26 cases and a review of the literature. Int J Gynecol Pathol. 2006, 25:361-365. 10.1097/01.pgp.0000209570.08716.b3
  5. Longacre TA, Chung MH, Rouse RV, Hendrickson MR: Atypical polypoid adenomyofibromas (atypical polypoid adenomyomas) of the uterus: a clinicopathologic study of 55 cases. Am J Surg Pathol. 1996, 20:1-20.
  6. Patel N, Hatfield J, Sohaey R, Coakley FV: MRI of prolapsed polypoid adenomyoma: expanding the differential diagnosis for the broccoli sign. Clin Imaging. 2018, 52:177-179. 10.1016/j.clinimag.2018.08.001
  7. Jha P, Chang ST, Rabban JT, Chen LM, Yeh BM, Coakley FV: Utility of the broccoli sign in the distinction of prolapsed uterine tumor from cervical tumor. Eur J Radiol. 2012, 81:1931-1936. 10.1016/j.ejrad.2011.04.040
  8. Kitajima K, Imanaka K, Kuwata Y, Hashimoto K, Sugimura K: Magnetic resonance imaging of typical polypoid adenomyoma of the uterus in 8 patients: correlation with pathological findings. J Comput Assist Tomogr. 2007, 31:463-468. 10.1097/01.rct.0000243447.03116.0c
  9. Arleo EK, Schwartz PE, Hui P, McCarthy S: Review of leiomyoma variants. AJR Am J Roentgenol. 2015, 205:912-921. 10.2214/AJR.14.13946
  10. Tamai K, Togashi K, Ito T, Morisawa N, Fujiwara T, Koyama T: MR imaging findings of adenomyosis: correlation with histopathologic features and diagnostic pitfalls. Radiographics. 2005, 25:21-40. 10.1148/rg.251045060

Case report
peer-reviewed

Polypoid Adenomyoma of the Uterus


Author Information

Nida Sajjad

Radiology, Aga Khan University Hospital, Karachi, PAK

Hina Iqbal

Radiology, Aga Khan University Hospital, Karachi, PAK

Kumail Khandwala Corresponding Author

Radiology, Aga Khan University Hospital, Karachi, PAK

Shaista Afzal

Radiology, Aga Khan University Hospital, Karachi, PAK


Ethics Statement and Conflict of Interest Disclosures

Human subjects: Consent was obtained by all participants in this study. Ethics Review Committee, Aga Khan University issued approval 2018-0764-1078. Conflicts of interest: In compliance with the ICMJE uniform disclosure form, all authors declare the following: Payment/services info: All authors have declared that no financial support was received from any organization for the submitted work. Financial relationships: All authors have declared that they have no financial relationships at present or within the previous three years with any organizations that might have an interest in the submitted work. Other relationships: All authors have declared that there are no other relationships or activities that could appear to have influenced the submitted work.



Case report
peer-reviewed

Polypoid Adenomyoma of the Uterus


Figures etc.

SIQ
6.3
RATED BY 3 READERS
CONTRIBUTE RATING

Scholarly Impact Quotient™ (SIQ™) is our unique post-publication peer review rating process. Learn more here.