"Never doubt that a small group of thoughtful, committed citizens can change the world. Indeed, it is the only thing that ever has."

Margaret Mead
Case report
peer-reviewed

The Importance of a Complete Differential: Case Report of a Tuberculoma in a Patient without Pulmonary Involvement



Abstract

Patients with a tuberculoma typically present with pulmonary involvement of tuberculosis and have risk factors for tuberculosis (TB). The risk factors for tuberculosis include bacillary load, proximity to infectious case, immunosuppressive conditions, malnutrition, young age, diabetes mellitus, working in healthcare, recent incarceration, alcohol use, and tobacco use. Although rare, it is possible for a patient to present with a tuberculoma despite the absence of risk factors for tuberculosis other than diabetes and without pulmonary involvement.

Introduction

Tuberculosis (TB) is a bacterial infection caused by Mycobacterium tuberculosis [1-2]. It is most often an infection of the lungs but can infect other organs in the body, and it is spread by droplets from the respiratory tract of a patient with active tuberculosis [3]. Extrapulmonary TB (EPTB) refers to disease involving organs other than the lungs: pleura, lymph nodes, abdomen, genitourinary tract, skin, joints, bones, skeletal, or meninges. The spinal column is involved in less than one percent of all cases of TB. Spinal TB, also called Pott's disease, is the most common as well as one of the most dangerous forms of skeletal TB. It is reported to account for 50% of all cases of skeletal TB. Approximately 1% of patients infected with Mycobacterium tuberculosis develop central nervous system (CNS) involvement, which may manifest as a tuberculoma, meningitis, or as an abscess [4]. Of the extrapulmonary manifestations of tuberculosis, CNS involvement is the most severe and has a high rate of mortality as well as neurologic residual sequelae despite treatment [5]. For this reason, when evaluating common complaints such as headache, a broad differential diagnosis should be considered. Tuberculoma should be included in the differential diagnosis of an intracranial mass even if the patient does not possess risk factors for tuberculosis and does not have any pulmonary involvement.

Case Presentation

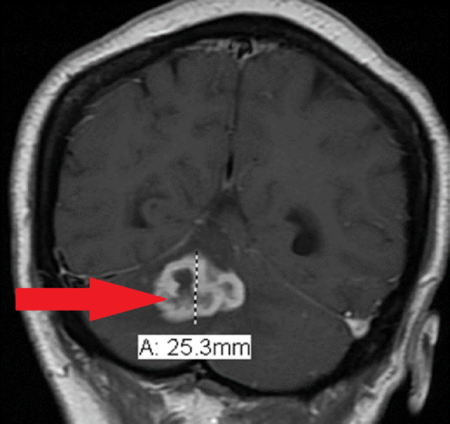
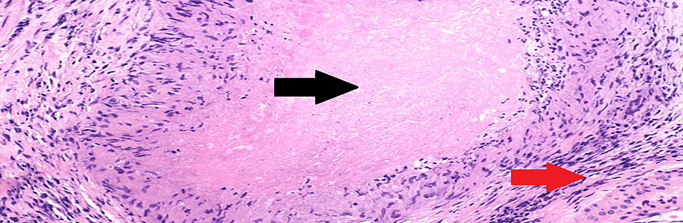
A 48-year-old African American female presented with a one-month history of headaches and nausea. Her only significant past medical history was diabetes. Her social history was negative for such risk factors as a high-risk profession in the healthcare field, recent incarceration, known contact with persons diagnosed with active tuberculosis or recent travel to areas in which tuberculosis is endemic. Her physical exam was unremarkable, and she had no focal neurological deficits. She was afebrile and hemodynamically stable. She presented to an outside facility where she had a computerized tomography (CT) scan of her head performed, which showed a posterior fossa mass with moderate hydrocephalus. This was followed by a magnetic resonance imaging (MRI) of the brain with and without contrast, which revealed a large right cerebellar ring-enhancing mass (Figures 1-2). The primary concern at that time was that this mass could possibly be a primary brain glioma like a high-grade astrocytoma or a medulloblastoma. The patient was transferred to another hospital for neurosurgical evaluation and excision of the mass. She underwent an exploratory posterior fossa craniectomy, cerebellar exploration and decompression, but no mass was identified at that time. Due to persistent headaches, she then had a repeat exploration of posterior fossa 15 days later, and identification and excision of the cerebellar mass occurred. Histopathology from the procedure revealed necrotizing granulomas (Figure 3), and stains specific for acid fast bacilli and fungus were both negative. Subsequently, the brain tissue grew Mycobacterium tuberculosis. The patient reported no prior knowledge of having tuberculosis, nor did she endorse exposure to patients with active tuberculosis. She previously had purified protein derivative (PPD) tests for employment, which had been negative. She was not immunocompromised and had recently been tested negative for human immunodeficiency virus (HIV) six months prior.

Discussion

Epidemiology

Approximately 10-15% of all cases of tuberculosis involve extrapulmonary tuberculosis without lung involvement. CNS tuberculosis accounts for 1% of all tuberculosis cases. Tuberculoma account for 0.2% of all biopsied brain masses [3].

Risk factors/associations

Pulmonary tuberculosis accounts for approximately 40-60% of tuberculoma cases. Patients with human immunodeficiency virus (HIV) have five times greater risk of tuberculoma than non-HIV patients [1]. Immunodeficiency is a risk factor for the development of tuberculosis as is organ transplantation due to chronic use of immunosuppressant medications. Recipients of a solid organ transplantation are 20-74% more likely to develop tuberculosis [6]. Eight percent of cases of tuberculoma are associated with the patient having concurrent diabetes, which was the sole risk factor for the patient in this case [1].

Clinical features

When a tuberculoma is large in size, it can mimic a brain tumor compressing surrounding brain tissue and causing symptoms of increased intracranial pressure (ICP), such as headache, nausea, and vomiting, which were all present in the patient presented in this case. Other possible symptoms that can occur with a tuberculoma but were not present in the patient in this case include seizures and cranial nerve palsies. These are common presentations of tuberculomas due to irritation and compression of surrounding brain parenchyma [7]. Tuberculomas that are large enough to cause compression symptoms are rare [8].

Diagnosis

Diagnostic imaging with a CT and MRI of the brain show ring-enhancing lesions with intense surrounding edema. Although multiple lesions may be present in up to one-third of patients with a tuberculoma, the patient presented in this case had a solitary brain lesion [9].

The differential diagnosis for an intracranial tuberculoma includes primary brain malignancy (high-grade astrocytoma or medulloblastoma), metastatic lesion, sarcoidosis, toxoplasma, granulomatous diseases, and fungal infections [8].

The gold standard for diagnosis of a tuberculoma is a brain mass biopsy with histopathologic evaluation [8]. Necrotizing granulomas are often found on histology. The biopsy should be assessed for acid fast bacilli (AFB), though it was negative in the patient presented. The tissue biopsy should also be cultured, which will result in the growth of Mycobacterium tuberculosis [1].

Differential diagnosis

High-grade astrocytoma or a medulloblastoma are on the list of differential diagnoses.

Treatment

Surgical resection of the mass with decompression is desired when the patient has signs and symptoms of increased intracranial pressure, which occurred in the patient presented in this case. Following surgical resection, the patient will need anti-tubercular treatment for 18 months with rifampicin, isoniazid, pyrazinamide, and ethambutol medication cocktail [2]. Clinical recovery is expected to begin within weeks of medication initiation, but it will take between six to twelve months for radiographic evidence of the mass to reduce in size [9]. It is possible for a new intracranial lesion to develop or the existing lesion to expand while the patient is on anti-tubercular medications. This occurs through a suspected paradoxical immune-mediated response. These patients need to have systemic steroids added to their treatment regimen for four to eight weeks in addition to the anti-tubercular medications, which do not need to be changed as this does not indicate failure in treatment [10].

Conclusions

Extrapulmonary tuberculosis without lung involvement is rare and accounts for 10-15% of all tuberculosis cases. CNS tuberculosis accounts for only 1% of all tuberculosis cases. The patient presented in this case did not have predisposing factors for a tuberculoma given that her HIV test and PPD were negative. Her age was also atypical for tuberculomas as they are usually seen in children. She was diabetic, which is associated with 8% of all reported cases of tuberculomas. Biopsy and histopathology is the gold standard in diagnosing tuberculomas as imaging studies can often be misleading in the diagnosis of this rare condition. Lumbar puncture is not usually possible given the raised intracranial pressure.

Final learning objectives

CNS involvement of tuberculosis is difficult to diagnose and treat and has elevated rates of morbidity and mortality associated with it if not diagnosed and treated adequately early in the disease course as patients who present late in the disease course have poorer outcomes.

CNS tuberculoma needs to be considered in patients who present with a brain mass even if they are not known to have tuberculosis and have minimal risk factors for tuberculosis.


References

  1. Nelson CA, Zunt JR: Tuberculosis of the central nervous system in immunocompromised patients: HIV infection and solid organ transplant recipients. Clin Infect Dis. 2010, 53:915-26. 10.1093/cid/cir508
  2. Li H, Liu W, You C : Central nervous system tuberculoma. J Clin Neurosci. 2012, 19:691–695. 10.1016/j.jocn.2011.05.045
  3. Lee DY, Kim SP, Kim IS: Coexistence of spinal intramedullary tuberculoma and multiple intracranial tuberculomas. Korean J Spine. 2015, 12:99–102. 10.14245/kjs.2015.12.2.99
  4. Phypers M, Harris T, Power C: CNS tuberculosis: a longitudinal analysis of epidemiological and clinical features. Int J Tuberc Lung Dis. 2006, 10:99-103.
  5. Rock RB, Olin M, Baker CA, et al.: Central nervous system tuberculosis: pathogenesis and clinical aspects. Clin Microbiol Rev. 2008, 21:243-61. 10.1128/CMR.00042-07
  6. Lopez de Castilla D, Schluger NW: Tuberculosis following solid organ transplantation. Transpl Infect Dis. 2010, 12:106-12. 10.1111/j.1399-3062.2009.00475.x
  7. Be NA, Kim KS, Bishai WR, et al.: Pathogenesis of central nervous system tuberculosis. Curr Mol Med. 2009, 9:94-99. Accessed: May 28, 2017: https://www.ncbi.nlm.nih.gov/pmc/articles/PMC4486069/.
  8. Sumer S, Koktekir E, Demir NA, et al.: Intracranial giant tuberculoma mimicking brain tumor: a case report. Turk Neurosurg. 2015, 25:337-9. 10.5137/1019-5149.JTN.9998-13.1
  9. Bernaerts A, Vanhoenacker FM, Parizel PM, et al.: Tuberculosis of the central nervous system: overview of neuroradiological findings. Eur Radiol. 2003, 13:1876-90. 10.1007/s00330-002-1608-7
  10. Tsai FF, Shiao CC, Lin SY, et al.: Intracranial tuberculoma. QJM. 2014, 107:391-2. 10.1093/qjmed/hct158
Case report
peer-reviewed

The Importance of a Complete Differential: Case Report of a Tuberculoma in a Patient without Pulmonary Involvement


Author Information

Pooja Sethi

Cardiology, East Tennessee State University

Jennifer Treece Corresponding Author

Internal Medicine, Quillen College of Medicine, East Tennessee State University

Chidinma Onweni

Internal Medicine, Quillen College of Medicine, East Tennessee State University

Vandana Pai

Internal Medicine, Quillen College of Medicine, East Tennessee State University

Zia Rahman

Internal Medicine, East Tennessee State University

Siddharth Singh

Cardiology, Cedar Saini Medical Center


Ethics Statement and Conflict of Interest Disclosures

Human subjects: Consent was obtained by all participants in this study.


Case report
peer-reviewed

The Importance of a Complete Differential: Case Report of a Tuberculoma in a Patient without Pulmonary Involvement


Figures etc.

PDF Print Share
Case report
peer-reviewed

The Importance of a Complete Differential: Case Report of a Tuberculoma in a Patient without Pulmonary Involvement

  • Author Information
    Pooja Sethi

    Cardiology, East Tennessee State University

    Jennifer Treece Corresponding Author

    Internal Medicine, Quillen College of Medicine, East Tennessee State University

    Chidinma Onweni

    Internal Medicine, Quillen College of Medicine, East Tennessee State University

    Vandana Pai

    Internal Medicine, Quillen College of Medicine, East Tennessee State University

    Zia Rahman

    Internal Medicine, East Tennessee State University

    Siddharth Singh

    Cardiology, Cedar Saini Medical Center


    Ethics Statement and Conflict of Interest Disclosures

    Human subjects: Consent was obtained by all participants in this study.

    Acknowledgements


    Article Information

    Published: June 28, 2017

    DOI

    10.7759/cureus.1405

    Cite this article as:

    Sethi P, Treece J, Onweni C, et al. (June 28, 2017) The Importance of a Complete Differential: Case Report of a Tuberculoma in a Patient without Pulmonary Involvement. Cureus 9(6): e1405. doi:10.7759/cureus.1405

    Publication history

    Received by Cureus: May 29, 2017
    Peer review began: June 14, 2017
    Peer review concluded: June 22, 2017
    Published: June 28, 2017

    Copyright

    © Copyright 2017
    Sethi et al. This is an open access article distributed under the terms of the Creative Commons Attribution License CC-BY 3.0., which permits unrestricted use, distribution, and reproduction in any medium, provided the original author and source are credited.

    License

    This is an open access article distributed under the terms of the Creative Commons Attribution License, which permits unrestricted use, distribution, and reproduction in any medium, provided the original author and source are credited.

Abstract

Patients with a tuberculoma typically present with pulmonary involvement of tuberculosis and have risk factors for tuberculosis (TB). The risk factors for tuberculosis include bacillary load, proximity to infectious case, immunosuppressive conditions, malnutrition, young age, diabetes mellitus, working in healthcare, recent incarceration, alcohol use, and tobacco use. Although rare, it is possible for a patient to present with a tuberculoma despite the absence of risk factors for tuberculosis other than diabetes and without pulmonary involvement.

Introduction

Tuberculosis (TB) is a bacterial infection caused by Mycobacterium tuberculosis [1-2]. It is most often an infection of the lungs but can infect other organs in the body, and it is spread by droplets from the respiratory tract of a patient with active tuberculosis [3]. Extrapulmonary TB (EPTB) refers to disease involving organs other than the lungs: pleura, lymph nodes, abdomen, genitourinary tract, skin, joints, bones, skeletal, or meninges. The spinal column is involved in less than one percent of all cases of TB. Spinal TB, also called Pott's disease, is the most common as well as one of the most dangerous forms of skeletal TB. It is reported to account for 50% of all cases of skeletal TB. Approximately 1% of patients infected with Mycobacterium tuberculosis develop central nervous system (CNS) involvement, which may manifest as a tuberculoma, meningitis, or as an abscess [4]. Of the extrapulmonary manifestations of tuberculosis, CNS involvement is the most severe and has a high rate of mortality as well as neurologic residual sequelae despite treatment [5]. For this reason, when evaluating common complaints such as headache, a broad differential diagnosis should be considered. Tuberculoma should be included in the differential diagnosis of an intracranial mass even if the patient does not possess risk factors for tuberculosis and does not have any pulmonary involvement.

Case Presentation

A 48-year-old African American female presented with a one-month history of headaches and nausea. Her only significant past medical history was diabetes. Her social history was negative for such risk factors as a high-risk profession in the healthcare field, recent incarceration, known contact with persons diagnosed with active tuberculosis or recent travel to areas in which tuberculosis is endemic. Her physical exam was unremarkable, and she had no focal neurological deficits. She was afebrile and hemodynamically stable. She presented to an outside facility where she had a computerized tomography (CT) scan of her head performed, which showed a posterior fossa mass with moderate hydrocephalus. This was followed by a magnetic resonance imaging (MRI) of the brain with and without contrast, which revealed a large right cerebellar ring-enhancing mass (Figures 1-2). The primary concern at that time was that this mass could possibly be a primary brain glioma like a high-grade astrocytoma or a medulloblastoma. The patient was transferred to another hospital for neurosurgical evaluation and excision of the mass. She underwent an exploratory posterior fossa craniectomy, cerebellar exploration and decompression, but no mass was identified at that time. Due to persistent headaches, she then had a repeat exploration of posterior fossa 15 days later, and identification and excision of the cerebellar mass occurred. Histopathology from the procedure revealed necrotizing granulomas (Figure 3), and stains specific for acid fast bacilli and fungus were both negative. Subsequently, the brain tissue grew Mycobacterium tuberculosis. The patient reported no prior knowledge of having tuberculosis, nor did she endorse exposure to patients with active tuberculosis. She previously had purified protein derivative (PPD) tests for employment, which had been negative. She was not immunocompromised and had recently been tested negative for human immunodeficiency virus (HIV) six months prior.

Discussion

Epidemiology

Approximately 10-15% of all cases of tuberculosis involve extrapulmonary tuberculosis without lung involvement. CNS tuberculosis accounts for 1% of all tuberculosis cases. Tuberculoma account for 0.2% of all biopsied brain masses [3].

Risk factors/associations

Pulmonary tuberculosis accounts for approximately 40-60% of tuberculoma cases. Patients with human immunodeficiency virus (HIV) have five times greater risk of tuberculoma than non-HIV patients [1]. Immunodeficiency is a risk factor for the development of tuberculosis as is organ transplantation due to chronic use of immunosuppressant medications. Recipients of a solid organ transplantation are 20-74% more likely to develop tuberculosis [6]. Eight percent of cases of tuberculoma are associated with the patient having concurrent diabetes, which was the sole risk factor for the patient in this case [1].

Clinical features

When a tuberculoma is large in size, it can mimic a brain tumor compressing surrounding brain tissue and causing symptoms of increased intracranial pressure (ICP), such as headache, nausea, and vomiting, which were all present in the patient presented in this case. Other possible symptoms that can occur with a tuberculoma but were not present in the patient in this case include seizures and cranial nerve palsies. These are common presentations of tuberculomas due to irritation and compression of surrounding brain parenchyma [7]. Tuberculomas that are large enough to cause compression symptoms are rare [8].

Diagnosis

Diagnostic imaging with a CT and MRI of the brain show ring-enhancing lesions with intense surrounding edema. Although multiple lesions may be present in up to one-third of patients with a tuberculoma, the patient presented in this case had a solitary brain lesion [9].

The differential diagnosis for an intracranial tuberculoma includes primary brain malignancy (high-grade astrocytoma or medulloblastoma), metastatic lesion, sarcoidosis, toxoplasma, granulomatous diseases, and fungal infections [8].

The gold standard for diagnosis of a tuberculoma is a brain mass biopsy with histopathologic evaluation [8]. Necrotizing granulomas are often found on histology. The biopsy should be assessed for acid fast bacilli (AFB), though it was negative in the patient presented. The tissue biopsy should also be cultured, which will result in the growth of Mycobacterium tuberculosis [1].

Differential diagnosis

High-grade astrocytoma or a medulloblastoma are on the list of differential diagnoses.

Treatment

Surgical resection of the mass with decompression is desired when the patient has signs and symptoms of increased intracranial pressure, which occurred in the patient presented in this case. Following surgical resection, the patient will need anti-tubercular treatment for 18 months with rifampicin, isoniazid, pyrazinamide, and ethambutol medication cocktail [2]. Clinical recovery is expected to begin within weeks of medication initiation, but it will take between six to twelve months for radiographic evidence of the mass to reduce in size [9]. It is possible for a new intracranial lesion to develop or the existing lesion to expand while the patient is on anti-tubercular medications. This occurs through a suspected paradoxical immune-mediated response. These patients need to have systemic steroids added to their treatment regimen for four to eight weeks in addition to the anti-tubercular medications, which do not need to be changed as this does not indicate failure in treatment [10].

Conclusions

Extrapulmonary tuberculosis without lung involvement is rare and accounts for 10-15% of all tuberculosis cases. CNS tuberculosis accounts for only 1% of all tuberculosis cases. The patient presented in this case did not have predisposing factors for a tuberculoma given that her HIV test and PPD were negative. Her age was also atypical for tuberculomas as they are usually seen in children. She was diabetic, which is associated with 8% of all reported cases of tuberculomas. Biopsy and histopathology is the gold standard in diagnosing tuberculomas as imaging studies can often be misleading in the diagnosis of this rare condition. Lumbar puncture is not usually possible given the raised intracranial pressure.

Final learning objectives

CNS involvement of tuberculosis is difficult to diagnose and treat and has elevated rates of morbidity and mortality associated with it if not diagnosed and treated adequately early in the disease course as patients who present late in the disease course have poorer outcomes.

CNS tuberculoma needs to be considered in patients who present with a brain mass even if they are not known to have tuberculosis and have minimal risk factors for tuberculosis.

References

  1. Nelson CA, Zunt JR: Tuberculosis of the central nervous system in immunocompromised patients: HIV infection and solid organ transplant recipients. Clin Infect Dis. 2010, 53:915-26. 10.1093/cid/cir508
  2. Li H, Liu W, You C : Central nervous system tuberculoma. J Clin Neurosci. 2012, 19:691–695. 10.1016/j.jocn.2011.05.045
  3. Lee DY, Kim SP, Kim IS: Coexistence of spinal intramedullary tuberculoma and multiple intracranial tuberculomas. Korean J Spine. 2015, 12:99–102. 10.14245/kjs.2015.12.2.99
  4. Phypers M, Harris T, Power C: CNS tuberculosis: a longitudinal analysis of epidemiological and clinical features. Int J Tuberc Lung Dis. 2006, 10:99-103.
  5. Rock RB, Olin M, Baker CA, et al.: Central nervous system tuberculosis: pathogenesis and clinical aspects. Clin Microbiol Rev. 2008, 21:243-61. 10.1128/CMR.00042-07
  6. Lopez de Castilla D, Schluger NW: Tuberculosis following solid organ transplantation. Transpl Infect Dis. 2010, 12:106-12. 10.1111/j.1399-3062.2009.00475.x
  7. Be NA, Kim KS, Bishai WR, et al.: Pathogenesis of central nervous system tuberculosis. Curr Mol Med. 2009, 9:94-99. Accessed: May 28, 2017: https://www.ncbi.nlm.nih.gov/pmc/articles/PMC4486069/.
  8. Sumer S, Koktekir E, Demir NA, et al.: Intracranial giant tuberculoma mimicking brain tumor: a case report. Turk Neurosurg. 2015, 25:337-9. 10.5137/1019-5149.JTN.9998-13.1
  9. Bernaerts A, Vanhoenacker FM, Parizel PM, et al.: Tuberculosis of the central nervous system: overview of neuroradiological findings. Eur Radiol. 2003, 13:1876-90. 10.1007/s00330-002-1608-7
  10. Tsai FF, Shiao CC, Lin SY, et al.: Intracranial tuberculoma. QJM. 2014, 107:391-2. 10.1093/qjmed/hct158
Pooja Sethi, M.D.

Cardiology, East Tennessee State University

Jennifer Treece

Internal Medicine, Quillen College of Medicine, East Tennessee State University

For correspondence:
treecejm@etsu.edu

Chidinma Onweni

Internal Medicine, Quillen College of Medicine, East Tennessee State University

Vandana Pai, M.D., Resident Physician

Internal Medicine, Quillen College of Medicine, East Tennessee State University

Zia Rahman

Internal Medicine, East Tennessee State University

Siddharth Singh

Cardiology, Cedar Saini Medical Center