"Never doubt that a small group of thoughtful, committed citizens can change the world. Indeed, it is the only thing that ever has."

Margaret Mead
Case report
peer-reviewed

To Stent or Not to Stent: A Tale of Two Occlusions



Abstract

Stenting and balloon angioplasty, along with mechanical thrombectomy, have gained notability as adjunctive treatment options to intravenous tissue plasminogen activator (IV-tPA) for tandem internal carotid artery (ICA) and middle cerebral artery (MCA) occlusions (TIM occlusions). Acute ischemic strokes (AISs) secondary to TIM occlusions are associated with poor patient outcomes primarily due to low recanalization rates following intravenous thrombolysis, consequently prompting the need for more invasive recanalization efforts. Often, the treatment algorithm is based on the success of the initial angioplasty, suspected volume of completed infarction, and whether or not thrombolytics are utilized. Here, we present two patients with AIS due to TIM occlusions where two different treatment modalities were implemented for recanalization efforts. Patient 1 did not receive IV-tPA and was successfully managed with balloon angioplasty and subsequent carotid stenting followed by direct oral anticoagulant (DOAC) administration. Patient 2 received IV-tPA and balloon angioplasty without carotid stenting followed by intracranial mechanical thrombectomy. Complete recanalization was attained in both cases. Administration of IV-tPA can make subsequent carotid stenting a potentially higher-risk treatment option for patients with TIM due to potential hemorrhagic complications in the setting of requisite antiplatelet agents. Each case of AIS resulting from a TIM must be considered unique, and the use of IV thrombolytics, balloon angioplasty, carotid stenting, and mechanical thrombectomy alone or in combination must be tailored to the individual clinical parameters.

Introduction

Acute ischemic strokes (AISs) caused by tandem extracranial internal carotid artery (ICA) and middle cerebral artery (MCA) occlusions (TIM occlusions) are associated with poor short and long-term outcomes as they are often resistant to intravenous tissue plasminogen activator (IV-tPA)-based thrombolytic therapy [1-2]. Stenting of the extracranial ICA, coupled with intracranial thrombectomy, has emerged as a feasible alternative to traditional IV thrombolysis for treating tandem ICA/MCA occlusions [3-6]. However, carotid stenting is accompanied by the administration of antiplatelet medications that can raise the risk of symptomatic intracranial hemorrhage (SICH) in conjunction with thrombolytics [6-7]. The use of balloon angioplasty and mechanical thrombectomy after tPA administration has also been shown to yield beneficial results as they avoid the need for stent-associated antiplatelet therapy [8]. Thus, it is important to consider whether the patient received anticoagulation or thrombolytic agents when determining the necessity of stent placement. Here, we present two back-to-back cases of AIS on the same day resulting from TIM occlusion that were treated with different management strategies due to the surrounding circumstances in each scenario.

Case Presentation

Patient 1

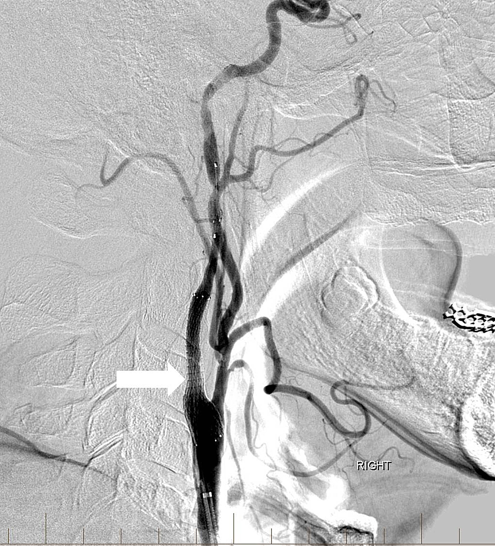
A 63-year-old man with a history of hypertension, hyperlipidemia, peripheral artery disease, smoking, and Stage IV lung cancer presented with left-sided weakness and dysarthria when he visited our institution for a chemotherapy port placement. His National Institutes of Health Stroke Scale (NIHSS) score was six and he was not a candidate for intravenous (IV) thrombolytics. Computed tomography angiography (CTA) revealed occlusion of the extracranial right internal carotid artery (ICA) and right middle cerebral artery (MCA) but no hemorrhage or large areas of acute ischemic change. Biplane digital subtraction angiography (DSA) revealed tapering to occlusion of the proximal right cervical ICA at the level of the carotid artery bulb (Figure 1).

Angioplasty was performed at the level of the severe proximal ICA occlusion using a 4 mm x 20 mm noncompliant balloon. Subsequent angiography demonstrated the progression of contrast into the distal cervical and intracranial segments of the ICA with a persistent severe and irregular stenosis. A decision was then made to stent using distal embolic protection. A 4-mm diameter distal protection device was advanced and deployed in standard fashion within the distal cervical ICA at the level of C1-C2. An eptifibatide infusion was started, and an 8 mm to 6 mm tapered self-expanding carotid stent measuring 40 mm in length was positioned across the lesion and deployed in the standard fashion without angiographic complications. Post-stenting angiography revealed a 90% improvement in the caliber of the occluded vessel without delay in transit time throughout all cervical and intracranial right ICA segments (Figure 2).

The right MCA was then patent with excellent flow to the anterior circulation (Figure 3).

 

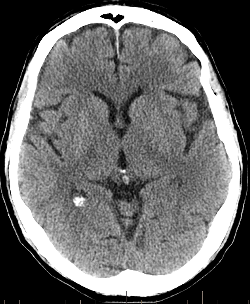
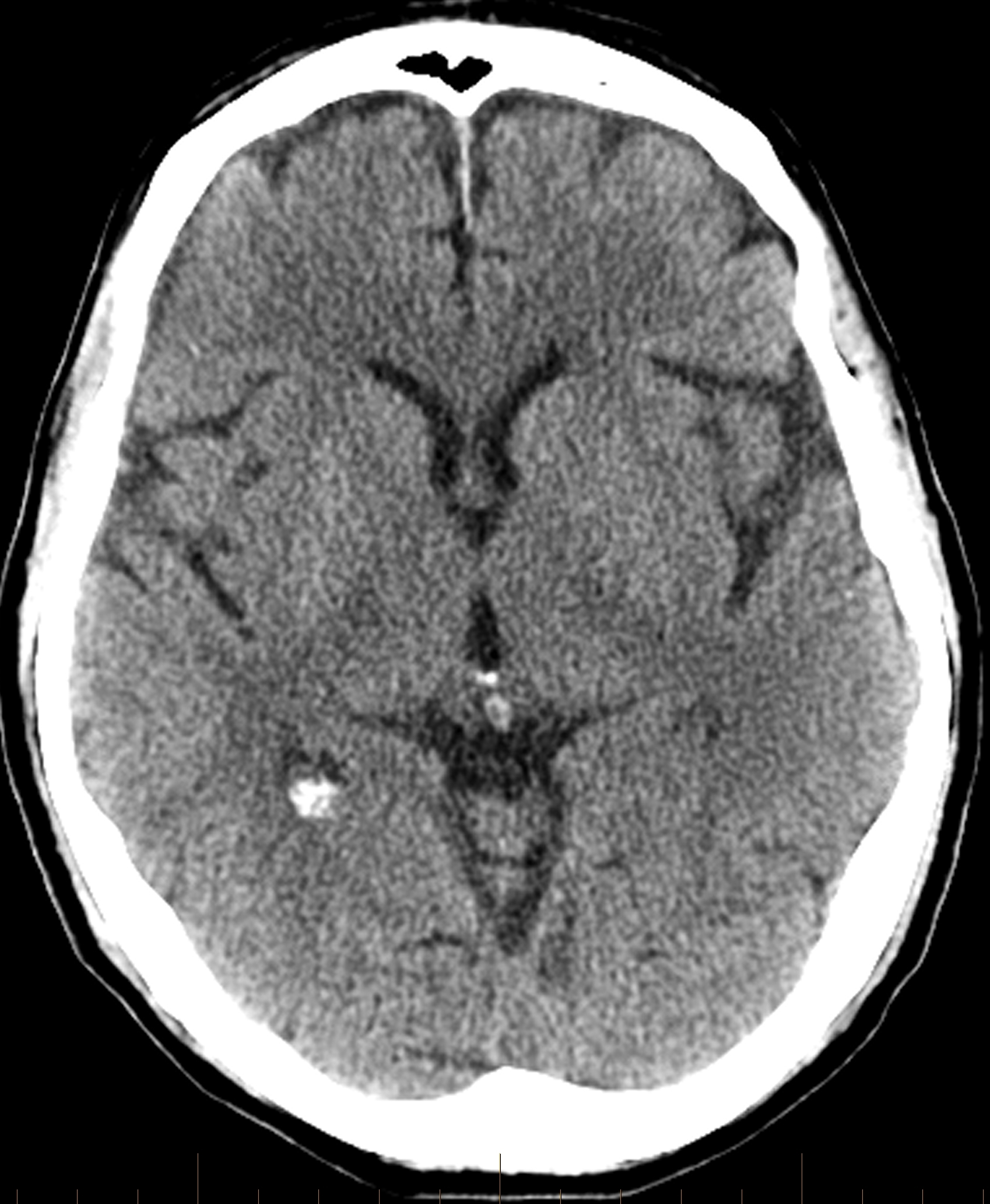
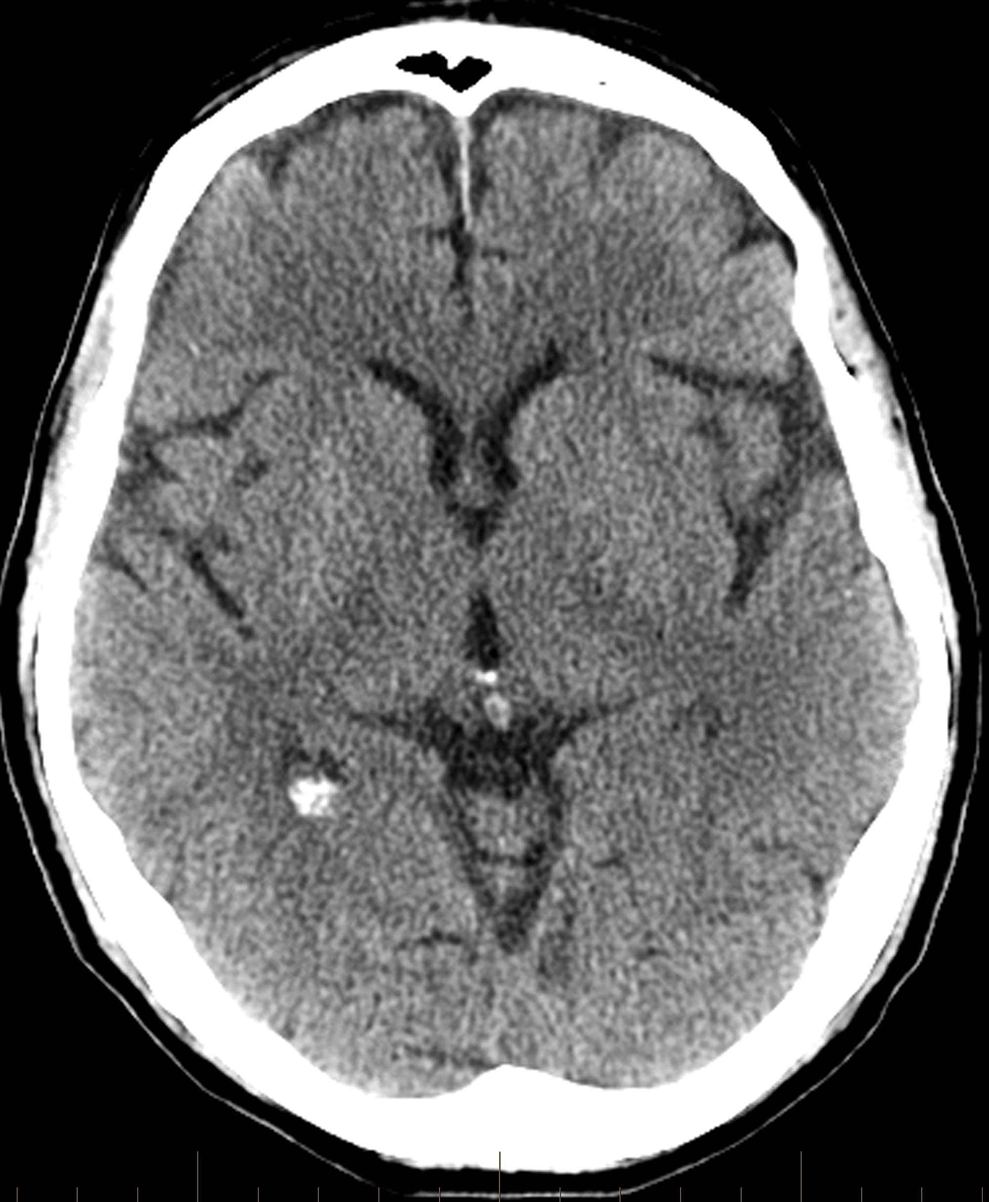
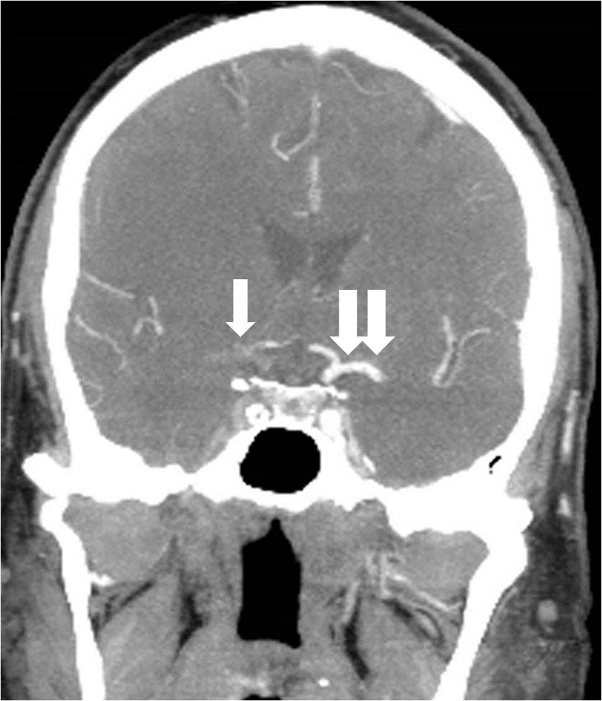
Follow-up head computed tomography (CT) revealed no hemorrhage or acute infarct (Figure 4).

 

The patient left the hospital the following day against medical advice. His NIHSS score prior to leaving had improved to two.

Patient 2

A 64-year-old man with a history of smoking and rheumatoid arthritis (RA) presented with left hemiparesis, slurred speech, and left facial droop. His NIHSS score was 9. Initial CTA showed occlusion of the extracranial right ICA and a tandem occlusion of the right MCA (Figure 5). 

tPA was administered intravenously, and the patient was transferred to the interventional neuroradiology suite. Biplane digital subtraction angiography revealed a complete occlusion of the cervical right ICA at the vessel’s origin due to extensive atherosclerotic disease (Figure 6).

The right MCA and right anterior cerebral arteries (ACAs) could not be visualized, and multifocal embolic filling defects were detected within the cavernous and supraclinoid ICA segments on microcatheter contrast injection past the carotid origin occlusion (Figure 7).

Given the previous administration of tPA, a decision was made to attempt balloon angioplasty without carotid stenting of the extracranial ICA. A 6 mm x 20 mm noncompliant balloon was positioned across the occluded proximal ICA and inflated until adequate luminal patency was restored. The thromboemboli in the supraclinoid ICA and MCA were subsequently removed by suction aspiration using an ACE 68 reperfusion catheter (Penumbra, Inc., Alameda, CA) and a direct aspiration first pass (ADAPT) technique [9]. Post-procedural right common carotid angiography demonstrated complete recanalization of the right middle cerebral and right anterior cerebral arteries without angiographic evidence of complicating features (Figure 8).

Angiography of the right common carotid artery demonstrated approximately a 40% residual stenosis at the ICA origin with no delay in the transit of contrast into the intracranial vasculature. A thrombolysis in cerebral infarction (TICI) score of three was achieved at the conclusion of the operation. Subsequent head computed tomography (CT) and magnetic resonance imaging (MRI) of the brain showed scattered infarcts in the right middle cerebral artery territory with multifocal petechial hemorrhages without frank hematoma. Compared to his initial NIHSS score of nine at presentation, he was discharged home three days later with an NIHSS of zero and no residual neurological deficits.

Discussion

Up to one in six cases of AIS may involve TIM occlusion [1, 6]. Among patients with ICA occlusions, Christou, et al. found that nearly half had concurrent MCA occlusions, and intravenously administered tPA failed to recanalize the ICA in 74% of patients and the MCA in 41% of patients [10]. Rubiera, et al. demonstrated that TIM occlusions were strong predictors of poor outcomes after intravenous thrombolytic treatment with only a 41.9% recanalization success compared to 69.5% in patients with only MCA lesions [1]. Endovascular approaches have been established as effective revascularization therapies in these scenarios. A study conducted by Malik, et al. involving carotid stenting and various thromboembolus removal techniques achieved recanalization rate of 75.3% (thrombolysis in myocardial infarction score ≥ 2) [5]. Interestingly, 23% of the patients in the study experienced spontaneous intracranial revascularization immediately after the stent was placed, similar to Patient 1 in our report; this is likely due to improved inflow and use of antiplatelet agents during stenting [5]. Stampfl, et al. employed carotid stenting and stent retriever thrombectomy and reported a 62.5% recanalization (TICI ≥ 2b) rate among patients with tandem ICA/MCA occlusions [6]. The effect of periprocedural anticoagulant, antiplatelet, or thrombolytic therapy, particularly tPA, on the prevalence of SICH in endovascularly treated TIM cases is currently unclear. 

Conclusions

Endovascular treatment modalities have been shown to achieve considerably significant rates of recanalization of TIM occlusions. Compared to IV thrombolytic therapy alone, the data favoring endovascular options continues to rise; endovascular methods have proven to be safe, effective alternatives with increasing favorability. With recanalization rates of TIM occlusions by IV thrombolysis remaining dismal, continued study of neurointerventional therapies and procedures is warranted. Comprehensive comparative and efficacy studies of specific endovascular therapies, such as balloon angioplasty, stenting, and mechanical thrombectomy, through long-term robust investigation will provide greater insight into individualized acute management options for AIS secondary to TIM. 


References

  1. Rubiera M, Ribo M, Delgado-Mederos R, et al.: Tandem internal carotid artery/middle cerebral artery occlusion: an independent predictor of poor outcome after systemic thrombolysis. Stroke. 2006, 37:2301-305. 10.1161/01.STR.0000237070.80133.1d
  2. Kim YS, Garami Z, Mikulik R, et al.: Early recanalization rates and clinical outcomes in patients with tandem internal carotid artery/middle cerebral artery occlusion and isolated middle cerebral artery occlusion. Stroke. 2005, 36:869-71. 10.1161/01.STR.0000160007.57787.4c
  3. Cohen JE, Gomori JM, Rajz G, et al.: Extracranial carotid artery stenting followed by intracranial stent-based thrombectomy for acute tandem occlusive disease. J Neurointerv Surg. 2015, 7:412-17. 10.1136/neurintsurg-2014-011175
  4. Mishra A, Stockley H, Goddard T, et al.: Emergent extracranial internal carotid artery stenting and mechanical thrombectomy in acute ischaemic stroke. Interv Neuroradiol. 2015, 21:205-14. 10.1177/1591019915583213
  5. Malik AM, Vora NA, Lin R, et al: Endovascular Treatment of Tandem Extracranial/Intracranial Anterior Circulation Occlusions: Preliminary Single-Center Experience. Stroke. 2011, 42:1653-1657. 10.1161/STROKEAHA.110.595520
  6. Stampfl S, Ringleb PA, Möhlenbruch M, et al.: Emergency cervical internal carotid artery stenting in combination with intracranial thrombectomy in acute stroke. AJNR Am J Neuroradiol. 2014, 35:741-46. 10.3174/ajnr.A3763
  7. Heck DV, Brown MD: Carotid stenting and intracranial thrombectomy for treatment of acute stroke due to tandem occlusions with aggressive antiplatelet therapy may be associated with a high incidence of intracranial hemorrhage. J Neurointerv Surg. 2015, 7:170-75. 10.1136/neurintsurg-2014-011224
  8. Dababneh H, Guerrero WR, Khanna A, et al.: Management of tandem occlusion stroke with endovascular therapy. Neurosurg Focus. 2012, 32:E16. 10.3171/2012.1.FOCUS11350
  9. Turk AS, Spiotta A, Frei D, et al.: Initial clinical experience with the ADAPT technique: A direct aspiration first pass technique for stroke thrombectomy. J Neurointerv Surg. 2014, 6:231-47. 10.1136/neurintsurg-2013-010713
  10. Christou I, Felberg RA, Demchuk AM, et al.: Intravenous tissue plasminogen activator and flow improvement in acute ischemic stroke patients with internal carotid artery occlusion. J Neuroimaging. 2002, 12:119-23. 10.1111/j.1552-6569.2002.tb00107.x
Case report
peer-reviewed

To Stent or Not to Stent: A Tale of Two Occlusions


Author Information

Ali S. Haider

Department of Neurosurgery, Scott and White Hospital, Temple, TX

Lyndon K. Lee

Texas A&M College of Medicine

Tijani Osumah

School of Medicine, Ross University

Saira Alli

Department of Neurosurgery, Leeds General Infirmary

Umair Khan

School of Medicine, St. Georges University

Steven Vayalumkal

School of Medicine, St. George's University

Aida Kafai Golahmadi

Neurosurgery, Barts and the Royal London Hospitals

Richa Thakur Corresponding Author

Texas A&M College of Medicine

Phu Nguyen

Texas A&M College of Medicine

Kennith F. Layton

Department of Radiology, Baylor University Medical Center


Ethics Statement and Conflict of Interest Disclosures

Human subjects: Consent was obtained by all participants in this study.


Case report
peer-reviewed

To Stent or Not to Stent: A Tale of Two Occlusions


Figures etc.

PDF Print Share
Case report
peer-reviewed

To Stent or Not to Stent: A Tale of Two Occlusions

  • Author Information
    Ali S. Haider

    Department of Neurosurgery, Scott and White Hospital, Temple, TX

    Lyndon K. Lee

    Texas A&M College of Medicine

    Tijani Osumah

    School of Medicine, Ross University

    Saira Alli

    Department of Neurosurgery, Leeds General Infirmary

    Umair Khan

    School of Medicine, St. Georges University

    Steven Vayalumkal

    School of Medicine, St. George's University

    Aida Kafai Golahmadi

    Neurosurgery, Barts and the Royal London Hospitals

    Richa Thakur Corresponding Author

    Texas A&M College of Medicine

    Phu Nguyen

    Texas A&M College of Medicine

    Kennith F. Layton

    Department of Radiology, Baylor University Medical Center


    Ethics Statement and Conflict of Interest Disclosures

    Human subjects: Consent was obtained by all participants in this study.

    Acknowledgements


    Article Information

    Published: June 17, 2017

    DOI

    10.7759/cureus.1364

    Cite this article as:

    Haider A S, Lee L K, Osumah T, et al. (June 17, 2017) To Stent or Not to Stent: A Tale of Two Occlusions. Cureus 9(6): e1364. doi:10.7759/cureus.1364

    Publication history

    Received by Cureus: May 30, 2017
    Peer review began: June 06, 2017
    Peer review concluded: June 13, 2017
    Published: June 17, 2017

    Copyright

    © Copyright 2017
    Haider et al. This is an open access article distributed under the terms of the Creative Commons Attribution License CC-BY 3.0., which permits unrestricted use, distribution, and reproduction in any medium, provided the original author and source are credited.

    License

    This is an open access article distributed under the terms of the Creative Commons Attribution License, which permits unrestricted use, distribution, and reproduction in any medium, provided the original author and source are credited.

Abstract

Stenting and balloon angioplasty, along with mechanical thrombectomy, have gained notability as adjunctive treatment options to intravenous tissue plasminogen activator (IV-tPA) for tandem internal carotid artery (ICA) and middle cerebral artery (MCA) occlusions (TIM occlusions). Acute ischemic strokes (AISs) secondary to TIM occlusions are associated with poor patient outcomes primarily due to low recanalization rates following intravenous thrombolysis, consequently prompting the need for more invasive recanalization efforts. Often, the treatment algorithm is based on the success of the initial angioplasty, suspected volume of completed infarction, and whether or not thrombolytics are utilized. Here, we present two patients with AIS due to TIM occlusions where two different treatment modalities were implemented for recanalization efforts. Patient 1 did not receive IV-tPA and was successfully managed with balloon angioplasty and subsequent carotid stenting followed by direct oral anticoagulant (DOAC) administration. Patient 2 received IV-tPA and balloon angioplasty without carotid stenting followed by intracranial mechanical thrombectomy. Complete recanalization was attained in both cases. Administration of IV-tPA can make subsequent carotid stenting a potentially higher-risk treatment option for patients with TIM due to potential hemorrhagic complications in the setting of requisite antiplatelet agents. Each case of AIS resulting from a TIM must be considered unique, and the use of IV thrombolytics, balloon angioplasty, carotid stenting, and mechanical thrombectomy alone or in combination must be tailored to the individual clinical parameters.

Introduction

Acute ischemic strokes (AISs) caused by tandem extracranial internal carotid artery (ICA) and middle cerebral artery (MCA) occlusions (TIM occlusions) are associated with poor short and long-term outcomes as they are often resistant to intravenous tissue plasminogen activator (IV-tPA)-based thrombolytic therapy [1-2]. Stenting of the extracranial ICA, coupled with intracranial thrombectomy, has emerged as a feasible alternative to traditional IV thrombolysis for treating tandem ICA/MCA occlusions [3-6]. However, carotid stenting is accompanied by the administration of antiplatelet medications that can raise the risk of symptomatic intracranial hemorrhage (SICH) in conjunction with thrombolytics [6-7]. The use of balloon angioplasty and mechanical thrombectomy after tPA administration has also been shown to yield beneficial results as they avoid the need for stent-associated antiplatelet therapy [8]. Thus, it is important to consider whether the patient received anticoagulation or thrombolytic agents when determining the necessity of stent placement. Here, we present two back-to-back cases of AIS on the same day resulting from TIM occlusion that were treated with different management strategies due to the surrounding circumstances in each scenario.

Case Presentation

Patient 1

A 63-year-old man with a history of hypertension, hyperlipidemia, peripheral artery disease, smoking, and Stage IV lung cancer presented with left-sided weakness and dysarthria when he visited our institution for a chemotherapy port placement. His National Institutes of Health Stroke Scale (NIHSS) score was six and he was not a candidate for intravenous (IV) thrombolytics. Computed tomography angiography (CTA) revealed occlusion of the extracranial right internal carotid artery (ICA) and right middle cerebral artery (MCA) but no hemorrhage or large areas of acute ischemic change. Biplane digital subtraction angiography (DSA) revealed tapering to occlusion of the proximal right cervical ICA at the level of the carotid artery bulb (Figure 1).

Angioplasty was performed at the level of the severe proximal ICA occlusion using a 4 mm x 20 mm noncompliant balloon. Subsequent angiography demonstrated the progression of contrast into the distal cervical and intracranial segments of the ICA with a persistent severe and irregular stenosis. A decision was then made to stent using distal embolic protection. A 4-mm diameter distal protection device was advanced and deployed in standard fashion within the distal cervical ICA at the level of C1-C2. An eptifibatide infusion was started, and an 8 mm to 6 mm tapered self-expanding carotid stent measuring 40 mm in length was positioned across the lesion and deployed in the standard fashion without angiographic complications. Post-stenting angiography revealed a 90% improvement in the caliber of the occluded vessel without delay in transit time throughout all cervical and intracranial right ICA segments (Figure 2).

The right MCA was then patent with excellent flow to the anterior circulation (Figure 3).

 

Follow-up head computed tomography (CT) revealed no hemorrhage or acute infarct (Figure 4).

 

The patient left the hospital the following day against medical advice. His NIHSS score prior to leaving had improved to two.

Patient 2

A 64-year-old man with a history of smoking and rheumatoid arthritis (RA) presented with left hemiparesis, slurred speech, and left facial droop. His NIHSS score was 9. Initial CTA showed occlusion of the extracranial right ICA and a tandem occlusion of the right MCA (Figure 5). 

tPA was administered intravenously, and the patient was transferred to the interventional neuroradiology suite. Biplane digital subtraction angiography revealed a complete occlusion of the cervical right ICA at the vessel’s origin due to extensive atherosclerotic disease (Figure 6).

The right MCA and right anterior cerebral arteries (ACAs) could not be visualized, and multifocal embolic filling defects were detected within the cavernous and supraclinoid ICA segments on microcatheter contrast injection past the carotid origin occlusion (Figure 7).

Given the previous administration of tPA, a decision was made to attempt balloon angioplasty without carotid stenting of the extracranial ICA. A 6 mm x 20 mm noncompliant balloon was positioned across the occluded proximal ICA and inflated until adequate luminal patency was restored. The thromboemboli in the supraclinoid ICA and MCA were subsequently removed by suction aspiration using an ACE 68 reperfusion catheter (Penumbra, Inc., Alameda, CA) and a direct aspiration first pass (ADAPT) technique [9]. Post-procedural right common carotid angiography demonstrated complete recanalization of the right middle cerebral and right anterior cerebral arteries without angiographic evidence of complicating features (Figure 8).

Angiography of the right common carotid artery demonstrated approximately a 40% residual stenosis at the ICA origin with no delay in the transit of contrast into the intracranial vasculature. A thrombolysis in cerebral infarction (TICI) score of three was achieved at the conclusion of the operation. Subsequent head computed tomography (CT) and magnetic resonance imaging (MRI) of the brain showed scattered infarcts in the right middle cerebral artery territory with multifocal petechial hemorrhages without frank hematoma. Compared to his initial NIHSS score of nine at presentation, he was discharged home three days later with an NIHSS of zero and no residual neurological deficits.

Discussion

Up to one in six cases of AIS may involve TIM occlusion [1, 6]. Among patients with ICA occlusions, Christou, et al. found that nearly half had concurrent MCA occlusions, and intravenously administered tPA failed to recanalize the ICA in 74% of patients and the MCA in 41% of patients [10]. Rubiera, et al. demonstrated that TIM occlusions were strong predictors of poor outcomes after intravenous thrombolytic treatment with only a 41.9% recanalization success compared to 69.5% in patients with only MCA lesions [1]. Endovascular approaches have been established as effective revascularization therapies in these scenarios. A study conducted by Malik, et al. involving carotid stenting and various thromboembolus removal techniques achieved recanalization rate of 75.3% (thrombolysis in myocardial infarction score ≥ 2) [5]. Interestingly, 23% of the patients in the study experienced spontaneous intracranial revascularization immediately after the stent was placed, similar to Patient 1 in our report; this is likely due to improved inflow and use of antiplatelet agents during stenting [5]. Stampfl, et al. employed carotid stenting and stent retriever thrombectomy and reported a 62.5% recanalization (TICI ≥ 2b) rate among patients with tandem ICA/MCA occlusions [6]. The effect of periprocedural anticoagulant, antiplatelet, or thrombolytic therapy, particularly tPA, on the prevalence of SICH in endovascularly treated TIM cases is currently unclear. 

Conclusions

Endovascular treatment modalities have been shown to achieve considerably significant rates of recanalization of TIM occlusions. Compared to IV thrombolytic therapy alone, the data favoring endovascular options continues to rise; endovascular methods have proven to be safe, effective alternatives with increasing favorability. With recanalization rates of TIM occlusions by IV thrombolysis remaining dismal, continued study of neurointerventional therapies and procedures is warranted. Comprehensive comparative and efficacy studies of specific endovascular therapies, such as balloon angioplasty, stenting, and mechanical thrombectomy, through long-term robust investigation will provide greater insight into individualized acute management options for AIS secondary to TIM. 

References

  1. Rubiera M, Ribo M, Delgado-Mederos R, et al.: Tandem internal carotid artery/middle cerebral artery occlusion: an independent predictor of poor outcome after systemic thrombolysis. Stroke. 2006, 37:2301-305. 10.1161/01.STR.0000237070.80133.1d
  2. Kim YS, Garami Z, Mikulik R, et al.: Early recanalization rates and clinical outcomes in patients with tandem internal carotid artery/middle cerebral artery occlusion and isolated middle cerebral artery occlusion. Stroke. 2005, 36:869-71. 10.1161/01.STR.0000160007.57787.4c
  3. Cohen JE, Gomori JM, Rajz G, et al.: Extracranial carotid artery stenting followed by intracranial stent-based thrombectomy for acute tandem occlusive disease. J Neurointerv Surg. 2015, 7:412-17. 10.1136/neurintsurg-2014-011175
  4. Mishra A, Stockley H, Goddard T, et al.: Emergent extracranial internal carotid artery stenting and mechanical thrombectomy in acute ischaemic stroke. Interv Neuroradiol. 2015, 21:205-14. 10.1177/1591019915583213
  5. Malik AM, Vora NA, Lin R, et al: Endovascular Treatment of Tandem Extracranial/Intracranial Anterior Circulation Occlusions: Preliminary Single-Center Experience. Stroke. 2011, 42:1653-1657. 10.1161/STROKEAHA.110.595520
  6. Stampfl S, Ringleb PA, Möhlenbruch M, et al.: Emergency cervical internal carotid artery stenting in combination with intracranial thrombectomy in acute stroke. AJNR Am J Neuroradiol. 2014, 35:741-46. 10.3174/ajnr.A3763
  7. Heck DV, Brown MD: Carotid stenting and intracranial thrombectomy for treatment of acute stroke due to tandem occlusions with aggressive antiplatelet therapy may be associated with a high incidence of intracranial hemorrhage. J Neurointerv Surg. 2015, 7:170-75. 10.1136/neurintsurg-2014-011224
  8. Dababneh H, Guerrero WR, Khanna A, et al.: Management of tandem occlusion stroke with endovascular therapy. Neurosurg Focus. 2012, 32:E16. 10.3171/2012.1.FOCUS11350
  9. Turk AS, Spiotta A, Frei D, et al.: Initial clinical experience with the ADAPT technique: A direct aspiration first pass technique for stroke thrombectomy. J Neurointerv Surg. 2014, 6:231-47. 10.1136/neurintsurg-2013-010713
  10. Christou I, Felberg RA, Demchuk AM, et al.: Intravenous tissue plasminogen activator and flow improvement in acute ischemic stroke patients with internal carotid artery occlusion. J Neuroimaging. 2002, 12:119-23. 10.1111/j.1552-6569.2002.tb00107.x
Ali S. Haider

Department of Neurosurgery, Scott and White Hospital, Temple, TX

Lyndon K. Lee

Texas A&M College of Medicine

Tijani Osumah, Medical Student

School of Medicine, Ross University

Saira Alli

Department of Neurosurgery, Leeds General Infirmary

Umair Khan, Medical Student

School of Medicine, St. Georges University

Steven Vayalumkal

School of Medicine, St. George's University

Aida Kafai Golahmadi

Neurosurgery, Barts and the Royal London Hospitals

Richa Thakur, Medical Student

Texas A&M College of Medicine

For correspondence:
rthakur@medicine.tamhsc.edu

Phu Nguyen

Texas A&M College of Medicine

Kennith F. Layton

Department of Radiology, Baylor University Medical Center

Ali S. Haider

Department of Neurosurgery, Scott and White Hospital, Temple, TX

Lyndon K. Lee

Texas A&M College of Medicine

Tijani Osumah, Medical Student

School of Medicine, Ross University

Saira Alli

Department of Neurosurgery, Leeds General Infirmary

Umair Khan, Medical Student

School of Medicine, St. Georges University

Steven Vayalumkal

School of Medicine, St. George's University

Aida Kafai Golahmadi

Neurosurgery, Barts and the Royal London Hospitals

Richa Thakur, Medical Student

Texas A&M College of Medicine

For correspondence:
rthakur@medicine.tamhsc.edu

Phu Nguyen

Texas A&M College of Medicine

Kennith F. Layton

Department of Radiology, Baylor University Medical Center